Дифференциальная диагностика лимфом средостения
Опухоли средостения (тимомы, карциномы тимуса, нейроэндокринные, герминогенные опухоли и др.) составляют менее 1% всех опухолей человека. Большая часть из них – это лимфопролиферативные заболевания.
Лимфомы средостения возникают, как правило, у людей молодого возраста и являются высококурабельным заболеванием при своевременной и точной постановке морфологического диагноза, только на основании которого возможен подбор оптимального лечения.
Манифестация болезни происходит в виде появления медиастинальной массы, локализованной в переднем, верхнем или среднем средостении.
У большинства пациентов наблюдаются симптомы, вызванные наличием медиастинального образования:
- одышка
- общая слабость
- боль в груди
- кашель
- синдром компрессии верхней полой вены
- cимптомы интоксикации– B-симптомы (лихорадка выше 38 °С, профузные ночные поты и потеря массы тела более 10% в течение 6 месяцев) наблюдаются менее чем у половины пациентов
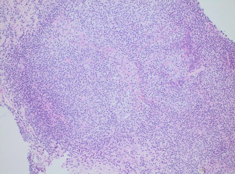
Существуют объективные трудности клинической и морфологической диагностики опухолей средостения, особенно лимфоидной природы. Получить диагностический материал сложно, для этого используют различные виды биопсий, но полученный материал зачастую небольшого объема и деформирован. Помимо малого количества и деформации материала, что само по себе затрудняет морфологическую диагностику, лимфомы средостения демонстрируют значительную вариабельность гистологических и цитологических изменений, что влечет за собой необходимость выполнения иммуногистохимического исследования во всех случаях (рис.8,9).
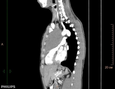
При поражении органов средостения рентгенологическая и клиническая картина неспецифичны (рис.1), только развернутый гистологический диагноз позволяет определиться с тактикой и подобрать эффективную терапию.
Спектр лимфом, возникающих в средостении, широк (рис.2,3,4,5,6,7), чаще всего это:
- лимфома Ходжкина
- первичная медиастинальная крупноклеточная В-клеточная лимфома,
- диффузная крупноклеточная В-клеточная лимфома
- медиастинальная лимфома серой зоны
- индолентные неходжкинские лимфомы
- Т-клеточные лимфомы
Источник: http://www.med-sovet.pro/jour/article/view/1897/1836
Материал подготовлен: Харченко Евгения Владимировна










