Лучевая диагностика заболеваний желудка
Рентгенография желудка с бариевой взвесью/водорастворимым контрастным препаратом

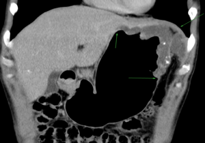
КТ-пневмогастрография – уникальный метод визуализации минимальных опухолей желудка при компьютерной томографии, основанный на раздувании желудка (газообразующей смесью). На выполнение этой методики получен патент сотрудником нашего отделения.
Подготовка:
- Проводжится натощак!
- Исключается возможность выполнения совместно с другими видами рентгенологических исследований


Противопоказания:
- Беременность