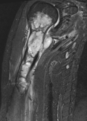
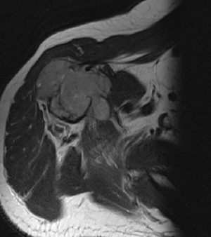
МР-диагностика новообразований конечностей (суставы, кости, мягкие ткани)
Задачи:
- Визуализация патологических изменений в конечностях и суставах
- Оценка и стадирование первичного их поражения, выявление рецидивов
- Дифференциальная диагностика метастазов и других заболеваний костных структур, мягких тканей
- Определение эффективности проведенной химио- и лучевой терапии
- Оценка результатов лечения метастазов
- Выявление сопуствующих дегенеративно-дистрофических изменений
Подготовка:
- Специальная подготовка не требуется

