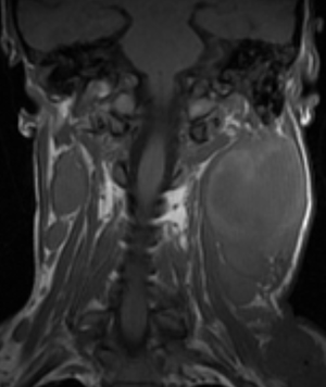
МР-диагностика новообразований мягких тканей шеи
Задачи:
- Выявление опухолевого поражения данной локализации
- Оценка регионарных лимфатических узлов
- Оценка глоточного лимфоидного кольца
Подготовка:
- Специальная подготовка не требуется


Задачи:
Подготовка:

