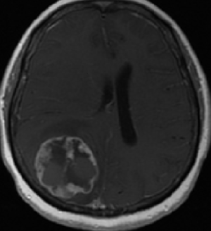
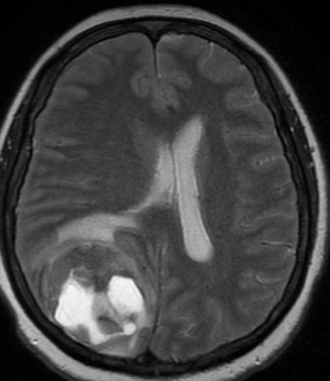
МР-диагностика опухолевого поражения головного мозга или метастазов в головной мозг
Задачи:
- Определение эффективности проведенной химио- и лучевой терапии
- Выявление сопутствующей патологии
- Использование МР-ангиографии для диагностики нарушения кровоснабжения головного мозга и аномалий развития сосудов головного мозга
- Оценка костных структур и их поражения
- Прицельное исследования гипофиза
- МР-разметка перед стереотаксической лучевой терапией
Подготовка:
- Специальная подготовка не требуется

