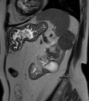
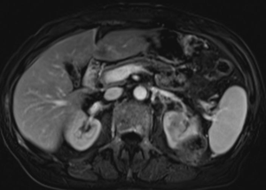
МРТ диагностика заболеваний органов брюшной полости и забрюшинного пространства
Показания:
- Заболевания органов брюшной полости и забрюшинного пространства, в т.ч. опухолевые: метастазы в печень, рак почки, рак поджелудочной железы
Подготовка:
- Проводится натощак
- Нельзя пить, курить, принимать таблетки за 12 часов до исследования
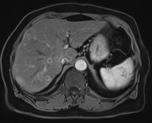
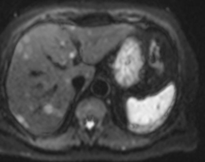
МР-диагностика образований печени (с использованием гепатоспецифичного контрастного препарата)


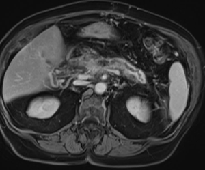
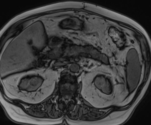
МР-диагностика образований поджелудочной железы


МР-диагностика образований почек

