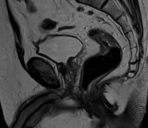
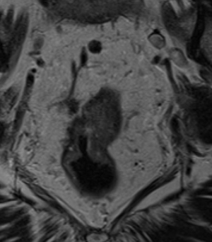
МРТ органов малого таза
Задачи:
- Диагностика и стадирование выявленных опухолевых изменений, диагностика рецидивов
- Определение эффективности проведенной химио- и лучевой терапии
- Определение распространенности процесса
- Оценка регионарных лимфатических узлов
- Выявление сопутствующей (не опухолевой) патологии, и её дифференциальная диагностика
Подготовка:
- Исследование делается на наполненный мочевой пузырь (не полный).
- За 30 мин до исследования выпить 500-700мл воды.
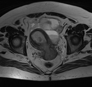
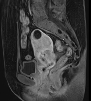
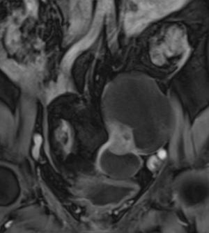
МР-диагностика рака тела матки


МР-диагностика рака шейки матки


МР-диагностика рака яичников


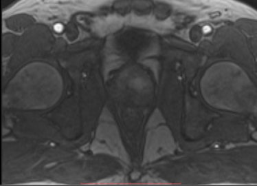
МР-диагностика рака предстательной железы (мультипараметрическая МРТ)




МР-диагностика рака прямой кишки

