Уважаемые посетители НМИЦ онкологии им. Н.Н. Петрова! Обратите внимание, что в пос. Песочный на Ленинградской улице располагаются три разных онкоцентра. При планировании визита запомните наш адрес: СПб, пос. Песочный, ул. Ленинградская, 68.
Размер:
AAA
Цвет: CCC
Изображения вкл.выкл.
Обычная версия сайта

Гематологические исследования – это комплекс исследований, в результате проведения которого получают информацию о количественном и качественном составе клеточных элементов системы крови.

Гематологические исследования выполняются на Отделении лабораторной диагностики НМИЦ онкологии им. Н.Н. Петрова.

Наиболее часто в комплекс гематологических исследований входят клинический анализ крови, определение СОЭ, подсчёт ретикулоцитов в крови, исследование пунктата костного мозга с подсчётом миелограммы.

  • Клинический анализ крови – один из важнейших диагностических методов, отражающих реакцию кроветворных органов на воздействие различных физиологических и патологических факторов. Исследование крови имеет большое значение в постановке диагноза, а при заболеваниях крови ему отводят ведущую роль.

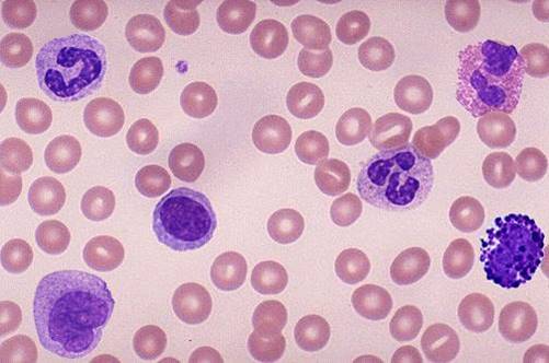
Клинический анализ крови выполняется в несколько этапов – исследование образцов крови на гематологическом анализаторе (определение гемоглобина, количества эритроцитов, лейкоцитов, тромбоцитов и  вычисление других показателей) и исследование мазков крови в световом микроскопе (при необходимости), когда проводится дифференцировка и определение процентного содержания различных субпопуляций лейкоцитов, а также оценивается морфология клеток крови.

Высокая заболеваемость анемией у онкобольных обусловлена несколькими факторами, включающими радиационно-индуцированную супрессию кроветворения, кровопотерю, гемолиз, инфильтрацию раковых клеток в костный мозг, дефицит питательных веществ и нарушение продукции цитокинов при хронических заболеваниях.

Проведение химиотерапии также сопряжено с развитием целого ряда осложнений, среди которых наиболее клинически значима миелосупрессия (нейтропения, тромбоцитопения, анемия).   Нейтропения – одно из основных и опасных проявлений миелотоксичности, принципиальная роль которой сводится к развитию тяжёлой инфекции.

Сроки исполнения анализа – несколько часов.

  • Скорость оседания эритроцитов – неспецифичный индикатор патологического состояния организма, используемый для выявления воспалительных, онкологических процессов, эндокринных нарушений, а также для наблюдения за течением болезни.

Исследование проводится на автоматическом анализаторе СОЭ.

Наиболее частые причины увеличения СОЭ – воспалительные заболевания различной этиологии, парапротеинемические гемобластозы, симптоматические парапротеинемии, сопутствующие злокачественным новообразованиям, острые и хронические инфекции, инфаркт миокарда, анемии, оперативные вмешательства,  гипопротеинемии и др.

Срок исполнения анализа - полчаса.

  • Исследование ретикулоцитов – подсчёт количества ретикулоцитов (абсолютное и процентное содержание), а также определение концентрации гемоглобина в ретикулоцитах и фракций ретикулоцитов по степени зрелости.

Ретикулоциты – это «молодые» эритроциты. В норме примерно 1% эритроцитов организме ежедневно заменяется юными клетками.

Исследование ретикулоцитов проводится на гематологическом анализаторе.

Эти тесты необходимо использовать для мониторинга костномозговой регенерации после трансплантации костного мозга и интенсивной химиотерапии, мониторинга терапии дефицита железа, витамина В12 или фолиевой кислоты, мониторинга токсического воздействия химиопрепаратов на костный мозг, детекции апластических кризов.

Срок исполнения анализа – несколько часов.

  • Исследование костного мозга с подсчётом миелограммы – важный диагностический метод, позволяющий определить состояние кроветворения, поражение  костного мозга при гемобластозах и метастазировании злокачественных опухолей. Миелограмма – морфологический анализ клеток костного мозга и определение процентного содержания форменных элементов костного мозга с одновременной оценкой уровня кроветворения.

Исследование пунктата костного мозга проводится при микроскопии окрашенных мазков в несколько этапов.

Анализ костного мозга показан также, когда клиническая картина и результаты анализа крови оставляют сомнения в диагнозе, например, в случаях: лейкоцитопении, тромбоцитопении, анемии неустановленного генеза, панцитопении, моноклональной гипергаммоглобулинемии; для оценки наличия генерализации лимфомы, когда в кровотоке отсутствуют патологические клетки. 

Срок исполнения анализа – несколько часов.

Цены на некоторые основные виды исследований:

Общий анализ крови на гематологическом анализаторе
Исследование скорости оседания эритроцитов (СОЭ)
Исследование уровня ретикулоцитов в крови
Исследование пунктатов органов кроветворения (костный мозг) с заключением (подсчет формулы костного мозга)

можно найти в прайс-листе, воспользовавшись быстрым поиском