Рак паращитовидных желёз
Что такое паращитовидные железы?
Для нормального функционирования физиологических систем (нервной, мышечной), поддержания прочности костной ткани и множества физиологических и биохимических процессов в организме жизненно важным является постоянство внеклеточной и внутриклеточной концентрации кальция. Крайне важным звеном регуляции содержания кальция в организме являются паращитовидные железы. У большинства людей их четыре, и все они спрятаны позади щитовидной железы. Размер паращитовидных желез, как правило, не превышает 5 мм, но они играют огромную роль в этом сложном процессе путём секреции паратиреоидного гормона (ПТГ). Будучи своеобразным датчиком, улавливающим малейшие колебания содержания кальция в крови, паращитовидные железы реагируют на снижение высвобождением ПТГ, который пытается поднять содержание кальция в крови. Это достигается увеличением усвоения кальция в желудочно-кишечном тракте, реабсорбцией (обратным усвоением) кальция в почках и усилением высвобождения кальция из костей. Между тем эти физиологические механизмы, при их чрезмерной активности (гиперпаратиреоз), лежат в основе грозной симптоматики, которая сопровождает не менее грозное заболевание – рак паращитовидных желёз.
![]()
Что такое рак паращитовидных желез?
Рак паращитовидных желёз представляет собой злокачественную эпителиальную опухоль, развивающуюся из ткани паращитовидной железы. По необъяснимым причинам грозность данного заболевания компенсируется его редкой встречаемостью. Рак паращитовидной железы является самой редкой злокачественной опухолью эндокринной системы: среди 10 миллионов данным заболеванием страдает около 5 человек. Ещё более редким является возникновение опухоли из нескольких желёз, чаще всего она поражает лишь одну из них.
Отличительной особенностью данного заболевания является извращённая работа физиологических функций паращитовидных желёз, которые можно описать как гиперпаратиреоз, т.е. состояние чрезмерно высокой и неконтролируемой продукции (высвобождения в кровь) ПТГ. Если в нормальных условиях высвобождение в кровь ПТГ является строго зависимым от изменения уровня кальция в крови, то при раке паращитовидных желёз высвобождение ПТГ является независимым от изменения концентрации кальция и потому неадекватным. Следствием гиперпаратиреоза является гиперкальциемия – состояние чрезмерно высокого, физиологически неадекватного содержания кальция в крови. В отсутствие гиперпаратиреоиза концентрация кальция в крови поддерживается в очень узком диапазоне. При гиперпаратиреозе происходит выход концентрации за пределы этого диапазона, что является для организма неблагоприятным и выражается в возникновении ряда симптомов.
Симптомы
Важно отметить, что на начальных этапах симптомов может не быть. Такое возможно при наличии повышенного уровня ПТГ в крови при нормальных значениях кальция. Это является наиболее частым сценарием, который отдаляет диагностику данного заболевания.
Между тем по мере увеличения концентрации кальция в крови возникают первые симптомы. Они являются достаточно размытыми, часто лишь слабо намекающими на наличие проблем в паращитовидных железах. К таким проявлениям можно отнести:
- со стороны желудочно-кишечного тракта: боль в животе, тошнота, рвота без очевидных причин, запор, снижение аппетита;
- со стороны костно-мышечной системы: мышечная слабость, чувство усталости и разбитости, умеренные боли в костях, снижение массы тела;
- со стороны нервной системы: затруднение мыслительных процессов и концентрации, сонливость, подавленное настроение;
- со стороны сердечно-сосудистой системы: нарушение сердечного ритма, регистрируемые на ЭКГ (укорочение интервала QT), артериальная гипертензия. Важно отметить, что данные изменения могут привести к ухудшению течения заболеваний сердца, в частности, различных аритмий и гипертонической болезни, часто встречающихся у пациентов старшей возрастной группы.
К более поздним проявлениям гиперпаратиреоза при раке паращитовидных желёз относят:
- изменения со стороны костной системы в виде уменьшения плотности костей (остеопороз), что может приводить к патологическим переломам, то есть нарушению целостности костей в отсутствие травмирующего фактора, наиболее часто – к переломам позвоночника и рёбер;
- изменения со стороны мочевыделительной системы в виде образования камней и развитии мочекаменной болезни. Примечательно, что, по литературным данным, развитие мочекаменной болезни может происходить при первичном гиперпаратиреозе при отсутствии других вышеперечисленных симптомов в 21 % случаев, причём возникнуть это осложнение может даже при умеренном повышении концентрации кальция в крови (2,55 и 2,75 ммоль/л).
Вышеописанные проявления являются прямым следствием гиперкальциемии, которая возникает в результате гиперпаратиреоза. Внимание к этим симптомам продиктовано тем, что именно они становятся главной причиной ухудшения качества жизни пациентов и одной из ведущих причин смерти у пациентов, страдающих раком паращитовидных желёз.
В ряде случаев при раке паращитовидных желёз прослеживается наличие уплотнённого образования, которое можно прощупать при врачебном осмотре или самостоятельно. Однако наличие уплотнения на шее более характерно для поздних стадий данного заболевания в силу анатомических особенностей локализации паращитовидных желёз.
Диагностика
Диагностика рака паращитовидных желёз складывается из оценки имеющихся у пациента симптомов, которая дополняется проведением лабораторных исследований. Главной лабораторной находкой является увеличение концентрации в крови ПТГ, который у таких пациентов может достигать крайне высоких значений, превышая верхний порог нормы в 5–10 раз. Другой важной находкой является обнаружение высокого содержания кальция в крови (общего и ионизированного), который при раке паращитовидных желёз может достигать 3,5 ммоль/л и выше. Однако обнаружение этих изменений говорит лишь о возможности у пациента рака паращитовидной железы, поскольку причины первичного гиперпаратиреоза и гиперкальциемии не ограничиваются раком паращитовидных желёз. Они включают в себя и доброкачественные новообразования паращитовидных желёз (аденомы), а также состояния, вовсе не связанные с патологией паращитовидных желёз. К причинам высокого содержания ПТГ также относят хроническую почечную недостаточность, недостаточность витамина D, но при данных состояниях концентрация кальция не достигает нормальных значений. К другим причинам гиперкальциемии, не связанным с патологией паращитовидных желёз, относят применение тиазидных диуретиков (индапамид, гидрохлортиазид), препаратов лития (иногда применяемых при эпилепсии, маниакально-депрессивном психозе). Перед продолжением диагностического поиска это нужно учитывать.
Если мы подозреваем рак паращитовидных желёз (по результатам лабораторного обследования, имеющимся симптомам), то включаем в диагностический процесс более сложные исследования, которые нацелены на выявление анатомических изменений в зоне нахождения паращитовидных желёз. К таким относят:
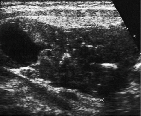
- УЗИ мягких тканей шеи (может прослеживаться наличие опухолевых масс с кистозной трансформацией и кальцификацией);

- МРТ мягких тканей шеи с внутривенным контрастированием.

Главное значение данных исследований заключается в планировании хирургического вмешательства.
В спорных, неясных диагностических ситуациях, а также при наличии подозрения на метастатический характер опухолевого процесса, в ряде случаев проводится позитронно – эмиссионная томография с радиофармпрепаратом (18 – фтор – дезоксиглюкоза).
Стадирование
В отличие от большинства опухолевых заболеваний, для рака паращитовидных желёз на сегодняшний день не существует адекватной системы стадирования, поскольку данные о прогностическом значении характеристик опухолевого роста при этом заболевании ограничены в силу его крайне редкой встречаемости. В таких условиях создание классификационной системы преждевременно.
Лечение
Основным и единственно эффективным методом, способным излечить пациентов, страдающих раком паращитовидных желёз, является хирургическое лечение. Оно заключается в удалении поражённых паращитовидных желёз и прилегающих к ним тканей. В силу того, что изолированное удаление паращитовидных желёз чревато высоким риском рецидива опухоли и сопряжено с техническими сложностями при операции, достаточно часто прибегают к гемитиреоидэктомии, когда удаляются и поражённая паращитовидная железа, и прилегающая к ней доля щитовидной железы.


На данных снимках представлен препарат удалённой доли щитовидной железы с врастающим в неё раком паращитовидных желёз.
Очевидно, что попытка полного отделения опухоли от щитовидной железы технически сомнительна и может привести к разрыву капсулы опухоли, что является очень значимым фактором рецидива рака паращитовидных желёз, в отношении которого потребуется повторная операция. В более запущенных случаях частичному иссечению может подвергаться поражённые опухолевым ростом мышцы, трахея и пищевод. Только полное удаление единым блоком поражённых тканей позволит достичь радикального излечения от рака паращитовидных желёз.
Дискуссионным и неоднозначным мероприятием при хирургическом вмешательстве является шейная лимфодиссекция при паращитовидном раке. В 2014 году опубликованы данные ретроспективного исследования, которые свидетельствуют о том, что опухоли паращитовидной железы более 3 см в наибольшем измерении характеризуются более высокой частотой метастазов в шейных лимфатических узлах по сравнению с опухолями меньшего размера (21 % против 2,8 %). Но, несмотря на это, поражение лимфоузлов при раке паращитовидных желёз не влияло на показатели выживаемости пациентов при данном заболевании. Не влияла и лимфодиссекция. Между тем лимфодиссекция является крайне травматичным элементом оперативного вмешательства. Поэтому вопрос о проведении лимфодиссекции по-прежнему решается индивидуально с учётом взвешивания пользы и вреда данной процедуры.
Лечение после хирургического вмешательства
Лучевая терапия и противоопухолевая лекарственная терапия (химиотерапия) не имеют в отношении рака паращитовидной железы никакого значения. Имеющиеся на сегодняшний день данные свидетельствуют о неэффективности данных вариантов лечения при раке паращитовидной железы. Опыт адъювантной лучевой терапии ограничивается небольшими обсервационными исследованиями, которые часто имеют систематическую ошибку отбора. В отношении химиотерапии существуют лишь отдельные сообщения о применении цитостатиков, и данных, которые позволили бы уверенно применять данную терапевтическую опцию у таких пациентов, просто нет. Это значит, что в случае рецидива рака паращитовидной железы единственным возможным вариантом лечения является повторная операция.
Симптоматическое лечение и контроль кальциемии
Проявления заболевания проистекают главным образом из гиперкальциемии, и именно она является причиной ухудшения качества жизни таких пациентов. В этих условиях симптоматическая терапия является одним из важнейших мероприятий (наряду с операцией), а в случае наличия неоперабельной опухоли – единственно возможным вариантом лечения. В качестве симптоматической терапии у таких пациентов активно применяются остеомодифицирующие агенты – бифосфанаты и моноклональные антитела к RANKL (молекула, запускающая развитие остеокластов, «разрушающих» костную ткань). Среди первых наиболее выделяется золедроновая кислота (Зомета). Среди вторых мир пока может предложить только деносумаб. Их действие направлено на увеличение аккумуляции («оседания») кальция в костной ткани, что оказывает гипокальциемическое (снижающее кальций в крови) действие и позволяет нивелировать имеющиеся у пациента симптомы, а также увеличить плотность костной ткани и уменьшить риск патологических переломов.
При резком повышении уровня кальция выраженность симптомов является чрезвычайно высокой и в ряде случаев это носит угрожающий жизни характер в силу риска почечной недостаточности и аритмий сердца (фибрилляция желудочков). В таких случаях требуется ведение пациента в условиях реанимации и интенсивной терапии с применением гидратационной терапии, глюкокортикостероидов, кальцитриола и петлевых диуретиков (фуросемид), при неэффективности – гемодиализ. Все эти мероприятия направлены на коррекцию резко увеличившейся концентрации кальция в крови и предотвращения развития потенциально смертельных осложнений.
Наблюдение пациентов после операции
Наблюдение пациентов после операции заключается в динамическом контроле уровня кальция и ПТГ в крови, а также регулярным УЗ-исследованием мягких тканей шеи с целью своевременного выявления рецидива заболевания. Большинство рецидивов опухоли происходит через 2–3 года после первичной операции, хотя также описаны рецидивы через 20 лет. При подозрении на рецидив заболевания повторяется диагностический поиск, предпринимаемый при исходном обнаружении заболевания.
В случае рецидива заболевания проводится повторное хирургическое лечение в виде резекции всей функциональной опухолевой ткани, включая широкое локальное иссечение в области шеи и средостения. Этот принцип также применим к метастазам, поскольку цель хирургического вмешательства – уменьшить опухолевую нагрузку и помочь облегчить симптомы гиперкальциемии, которые значимо ухудшают качество жизни пациентов. Паллиативные операции могут проводиться несколько раз пациенту из-за вялотекущего характера заболевания и относительно высокой частоты рецидивов. Как уже было сказано выше, другие методы лечения в данном случае неприменимы.
Прогноз
Рак паращитовидных желёз считается медленно прогрессирующим заболеванием. Это выражается в том, что лишь 2–5 % пациентов на момент диагностики имеют метастатическое поражение регионарных лимфатических узлов или отдалённые метастазы. Пятилетняя выживаемость пациентов, страдающих раком паращитовидных желёз, составляет 82,5 %, а десятилетняя – приблизительно 65 %. Наиболее значимыми факторами, влияющими на выживаемость, были признаны исходный размер опухоли, возраст пациента, адекватность проведённого хирургического вмешательства (независимо от проведения лимфодиссекции). Однако именно гиперкальциемия в подавляющем большинстве случаев лежит в основе гибели данных больных, и именно она является краеугольным камнем диагностики гиперпаратиреоза, связанного с опухолями паращитовидных желез.
Выводы
Несмотря на отсутствие иных лечебных опций, кроме хирургического вмешательства, можно сказать, что рак паращитовидных желёз характеризуется относительно высокими показателями выживаемости данной группы пациентов. По-видимому, путь к повышению данного показателя лежит в усовершенствовании применяемого хирургического лечения. В то же время потенциальные возможности лекарственной противоопухолевой терапии здесь сильно ограничены в силу редкой встречаемости данного заболевания и невозможности проведения адекватных рандомизированных клинических исследований, которые могли бы продемонстрировать эффективность того или иного препарата. Это значит, что в ближайшие десятилетия единственными доступными лечебными подходами в отношении рака паращитовидных желёз останутся хирургическое лечение и симптоматическая терапия, направленная на коррекцию гиперкальциемии.
Список литературы:
- Endocrine pathology / M. Kettyle William, A. Arky Ronald, p.145 – 151, 2016
- Machado, Nikita N, and Scott M Wilhelm. “Parathyroid Cancer: A Review.” Cancers vol. 11,11 1676. 28 Oct. 2019, doi:10.3390/cancers11111676
- Primary Hyperparathyroidism and the Risk of Fracture: A Population‐Based Study. Sundeep Khosla Joseph Melton III Robert A. Wermers Cynthia S. Crowson W. Michael O’Fallon B. Lawrence Riggs First published: 02 December 2009 https://doi.org/10.1359/jbmr.1999.14.10.1700
- Tay, Yu-Kwang Donovan et al. “Occult urolithiasis in asymptomatic primary hyperparathyroidism.” Endocrine research vol. 43,2 (2018): 106-115. doi:10.1080/07435800.2018.1431275
- Parks J, Coe F, Favus M. Hyperparathyroidism in Nephrolithiasis. Arch Intern Med. 1980;140(11):1479–1481. doi:10.1001/archinte.1980.00330220049018
- Four Ultrasound and Clinical Pictures of Parathyroid Carcinoma Milan Halenka, David Karasek, and Zdenek Frysak.Hindawi Publishing Corporation Case Reports in Endocrinology Volume 2012, Article ID 363690, 5 pages/ doi:10.1155/2012/363690
- Case Report Synchronous parathyroid carcinoma and papillary thyroid carcinoma: a case study and review of literature Chunyi Song , Jianbiao Wang , Xiujun Cai , Li Gao. Int J Clin Exp Pathol 2016;9(1):302-309 www.ijcep.com /ISSN:1936-2625/IJCEP0017732
- Ghada El-Hajj Fuleihan, MPHAndrew Arnold, Parathyroid carcinoma. UpToDate, 2021
- Randall P. et all, Parathyroid carcinoma: A review. J.of the sciences and specialties of the head and neck Volume33, Issue3, March 2011,Pages 429-436 https://doi.org/10.1002/hed.21376
- Current and future treatments for parathyroid carcinoma. Kristin L Long & Rebecca S SippelINTERNATIONAL JOURNAL OF ENDOCRINE ONCOLOGYVOL. 5, NO. 1REVIEW. Published Online:7 Feb 2018https://doi.org/10.2217/ije-2017-0011
- Hsu, K. T., Sippel, R. S., Chen, H., & Schneider, D. F. (2014). Is central lymph node dissection necessary for parathyroid carcinoma?. Surgery, 156(6), 1336–1341. https://doi.org/10.1016/j.surg.2014.08.005
- Asare, E.A., Sturgeon, C., Winchester, D.J. et al. Parathyroid Carcinoma: An Update on Treatment Outcomes and Prognostic Factors from the National Cancer Data Base (NCDB). Ann Surg Oncol 22, 3990–3995 (2015). https://doi.org/10.1245/s10434-015-4672-3
- Thomas E Green, Hypercalcemia in Emergency Medicine. MedScape, Updated: Apr 29, 2020
- Successful palliation of hypercalcemia secondary to metastatic parathyroid cancer: an unusual indication for hepatic resection. James J. Mezhir et all, Journal of Hepato-Biliary-Pancreatic Surgery. Volume14, Issue4, July 2007 Pages 410-413 https://doi.org/10.1007/s00534-006-1173-6
- Schulte, KM., Talat, N., Miell, J. et al. Lymph Node Involvement and Surgical Approach in Parathyroid Cancer. World J Surg 34, 2611–2620 (2010). https://doi.org/10.1007/s00268-010-0722-y
Если вы хотите узнать побольше о бесплатных возможностях ФБГУ НМИЦ онкологии им. Н.Н. Петрова Минздрава России, получить очную или заочную консультацию по диагностике и лечению, записаться на приём, ознакомьтесь с информацией на странице.
Если вы хотите общаться с нами через социальные сети, обратите внимание на аккаунты в ВКонтакте и Telegram.
- Плоскодетекторная компьютерная томография в интервенционной радиологии: фундаментальные принципы, современные технологии и перспективы дальнейшего развития
- Может ли экстракорпоральное оплодотворение спровоцировать рак?
- Внутрибольничная пневмония: диагностика, лечение и профилактика
- Рак и наследственность
- Профессор Светлана Кулева: «До сих просыпаюсь от страха, что иду на экзамен по взрослой хирургии»