УЗИ с эхоконтрастированием
Одним из самых перспективных методов исследования в лучевой диагностике сегодня является ультразвуковое исследование контрастным усилением.
О том, какие возможности открывает технология эхоконтрастирования, об особенностях и достоинствах этого метода, рассказывает Андрей Владимирович Мищенко, д.м.н., заведующий отделением лучевой диагностики ФГБУ «НМИЦ онкологии им. Н.Н. Петрова» Минздрава России.

— Что такое УЗИ с эхоконтрастом? Чем оно отличается от обычного УЗИ?
В США и странах Западной Европы эта технология широко применяется уже более десяти лет. В России первые препараты для эхоконтрастирования были зарегистрированы около трех лет назад, и с тех пор УЗИ с контрастированием активно развивается, в том числе для диагностики онкологических заболеваний.
Благодаря использованию контрастного вещества в УЗ-исследовании появились новые возможности. В первую очередь ультразвуковое исследование с контрастным усилением предназначено для оценки васкуляризации, то есть кровоснабжения того или иного органа или структуры. Повышенная васкуляризация – это один из признаков злокачественных новообразований.
Если раньше о васкуляризации можно было судить только на основании доплеровских исследований, то теперь уже на первичном этапе дифференциальной диагностики мы можем по характеру васкуляризации предполагать доброкачественный или злокачественный характер изменений, понять есть ли кровоснабжение паталогической ткани. УЗИ с ЭК крайне важно и эффективно для выявления васкуляризированных участков, когда при обычном УЗИ на вид ткань есть, но нельзя сказать, растущая эта ткань, кровоснабжаемая, или фиброзная (плохо кровоснабжаемая – рубец).
Эхоконтрастирование очень помогает в определении масштаба поражения опухолевого процесса.
УЗИ с эхоконтрастом позволяет найти ответы на многие другие вопросы, не прибегая к иным методам лучевой диагностики: КТ, МРТ, ПЭТ-КТ – высокотехнологичным, но и обладающим определенным вредным воздействием на человека за счет рентгеновского, гамма-излучения, нефротоксичных контрастных препаратов.
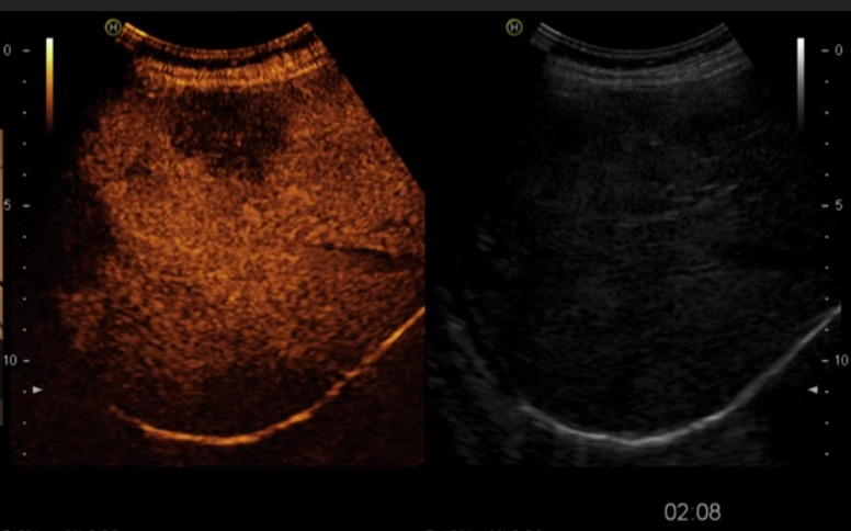
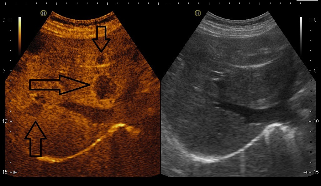
На снимках наглядно видно отличие от обычного УЗИ:

Режим эхоконтрастирования (слева) позволяет четко локализовать очаговое поражение печени.

В режиме эхоконтрастирования (слева) четко видны метастазы в печени.
— Какие эхоконтрастные препараты применяются для УЗИ?
Это нетоксичный препарат, совершенно инертный для человека. Это белый порошок, который при смешивании с физраствором образует микропузырьки воздуха, которые рассасываются, а потом выводятся через лёгкие. Если нужно, УЗИ с контрастированием можно выполнять часто. За все время применения его во всем мире не зарегистрировано никаких побочных эффектов.
Для контрастирования традиционно применяли раньше компьютерную томографию (КТ) или магнитно-резонансную томографию (МРТ). Контрастный препарат, используемый в КТ или МРТ, показывает и сосудистые структуры и их проницаемость. Соответственно, на изображении специалисту трудно понять — это так много сосудов в ткани или они так легко проницаемы.
Препарат же, используемый в УЗИ при контрастировании, отличается от тех, что применяют в КТ или МРТ. В УЗИ с эхоконтрастированием «свечение» препарата происходит только за счет сосудистого русла т.к. микропузырьки не выходят за пределы сосудистой стенки, не проникают в интерстиций (межклеточное пространство, которое составляет как бы остов большинства тканей).
Врач-диагност четко понимает, что микроциркуляторные сосуды находятся здесь в очень высокой концентрации. Чаще всего опухоль отличается по строению от нормального органа именно сосудистым руслом: либо это низкая концентрация сосудов на площадь, либо наоборот высокая.

— Кто определяет целесообразность применения контрастирования?
Назначает исследование обычно врач-рентгенолог и ультразвуковой диагност, которые впервые сталкиваются с пациентом.
Благодаря научной литературе, конференциям и школам по лучевой диагностики, которые проводят специалисты нашего отделения, все больше врачей-онкологов понимают перспективность и преимущества этой технологии, и онколог на первичном приеме уже может рекомендовать сделать УЗИ именно с эхо-контрастированием, понимая, что ситуация сложная и она может быть разрешена только при эхо-контрастировании.
Чаще в ходе УЗ-исследования врач принимает решение, нужно ли продолжать и доводить методику сканирования до использования эхо-контрастирования, либо он получил уже всю необходимую информацию. При этом, врач ультразвуковой диагностики должен быть экспертом, понимать суть происходящих патологических процессов и постараться в заключении ответить на все вопросы, необходимые врачу-онкологу для принятия решений по назначению лечения. То есть, часто человека записывают на «простое УЗИ», а уже специалист определяет, есть ли необходимость делать УЗИ с контрастом.
— Сколько по времени длится прием пациента при УЗИ с ЭК?
Стандартный прием УЗИ занимает не более 20 минут на одну зону сканирования. Формально, контрастирование незначительно увеличивает время приема еще на минут 5-10. Чаще необходимо приготовить кабинет к инъекции контрастного препарата, поэтому пациента просят подождать. Основное время врач-специалист УЗД тратит на специальный обсчет и анализ изображений уже без пациента.
Эхоконтрастирование – непростая процедура, требующая специального оборудования и навыков. Внутри раствора должны сформироваться микропузырьки газа, нужно подготовить специальный раствор с ними, проследить, чтобы они не разрушились, аккуратно хранить и ввести.


— Для каких заболеваний эта методика исследования особенно эффективна?
Методика контрастирования в онокологической практике используется при поражениях различных огранов: печени, почек и мочевого пузыря, лимфатических узлов, щитовидной и молочной железы, матки, яичников, опухолей мягких тканей, также есть сведения об успешном применении эхоконтрастировния в исследовании предстательной и поджелудочной железы. Эти исследования в полном объеме проводятся и в НМИЦ онкологии имени Н.Н.Петрова.
УЗИ в гинекологии применяют реже, чем в других сферах. Мы осторожно подходим к новым технологиям. Перед использованием в рутинной практике, около года мы накапливали свой опыт исследований, а также внимательно изучали достижения европейских и американских специалистов. С помощью УЗИ с ЭК мы проверяем уже известные нам случаи и, таким образом, можем оценить эффективность новой техники. Сейчас в НМИЦ онкологии им. Н.Н. Петрова выполняется ультразвуковое исследование с контрастным усилением шейки матки, а также яичников и тела матки с целью дифференциальной диагностики и оценки распространённости опухолей.
— Расскажите, пожалуйста, каковы области применения и перспективы развития этой методики в онкологии.
Области применения ультразвука с контрастным усилением
Диагностика
- Поликонтрастные свойства (УЗИ, МРТ-наночастицы, МР-спектроскопия по фосфору, флюоросцентная эндо-, микроскопия)
- Визуализация опухоли
- васкуляризация
- оценка распространенности (инвазия сосудов, других органов и структур)
- поражение лимфатических узлов
- Количественная оценка эффективности противоопухолевой терапии
- Оценка аблационных методов лечения и эмболизации
- Специализированные
- эндоУЗИ
- интраоперационные УЗИ
Лечение
- Таргетная доставка лекарств и метаболитов
- Усиление HIFU-эффекта
На сегодняшний день применение УЗИ с эхоконтрастированием очень важно и эффективно для диагностики опухоли, оценке ответа на лечение, эффективности противоопухолевой терапии – как классического: хирургического, лучевого и химиотерапии, так и экспериментального малоинвазивного – аблации (крио-, лазеро-, радиочастотного, высокоинтенсивного ультразвука и др.)
Вопросы завтрашнего дня – это применение микропузырьковых растворов в лечении онкологических заболеваний – это таргетная доставка лекарств и метаболитов, усиление HIFU-эффекта. HIFU-терапия – это технология нового поколения, которая использует энергию ультразвуковых колебаний для лечения глубоко лежащих тканей.

Другим перспективным свойством микропузырьковых растворов является их потенциальная возможность быть видимыми с помощью любых методов лучевой диагностики (КТ, МРТ, радионуклидная диагностика). Возможно, это тоже найдет свое воплощение в будущем.
Если вы хотите узнать побольше о бесплатных возможностях ФБГУ НМИЦ онкологии им. Н.Н. Петрова Минздрава России, получить очную или заочную консультацию по диагностике и лечению, записаться на приём, ознакомьтесь с информацией на странице.
Если вы хотите общаться с нами через социальные сети, обратите внимание на аккаунты в ВКонтакте и Telegram.
- «99 процентов работы патологоанатома — это прижизненная диагностика». Заведующая патологоанатомическим отделением НМИЦ онкологии им. Петрова Анна Сергеевна Артемьева — о тайнах профессии
- Саркома Юинга: диагностика и лечение
- «Мечтаю о рождении первых детей»: онкогинеколог и репродуктолог Ольга Евгеньевна Лавринович – о себе и программе отложенного родительства для онкологических пациентов
- «Шока не было. Болезнь я восприняла как испытание»: 20-летняя Даша борется с острым лимфобластным лейкозом и не прекращает учебу
- «Читаем мысли хирурга». Старшая медсестра оперблока Центра Галина Мусий — о себе и профессии