Главный танец Алексея Бабенкова. После удаления саркомы он получил новую пятку и сохранил ногу
Боль в пятке обернулась для Алексея Бабенкова из Самары грозным диагнозом – саркома пяточной кости. «Это был непростой путь – поиск правильного диагноза, — рассказывает Алексей. – Врачи предлагали мне массу вариантов, начиная от остеомиелита до кисты. Но я понимал, что все не так просто, и фактически я сам у себя нашел рак. А потом сам организовал свое собственное лечение — изучал протоколы лечения, консультировался с российскими фондами помощи онкопациентам, связывался с врачами федеральных онкоцентров».
Только благодаря своей деятельной натуре Алексей Бабенков справился (и продолжает справляться) со страшной болезнью. «Это показательный пример, когда без самого пациента, его силы воли и желания жить, ничего бы не случилось», — говорит сегодня Григорий Владимирович Зиновьев, заведующий хирургическим отделением опухолей костей, мягких тканей и кожи НМИЦ онкологии им. Н.Н. Петрова. Здесь Алексею была сделана операция по удалению опухоли кости и эндопротезирование пяточной кости.
…В 2020 году у Алексея появилась боль в ступне, боль нарастала, обезболивающие не помогали.
— Пошел и сделал себе МРТ, — рассказывает Алексей Бабенков. – Уже с готовым снимком обратился к специалистам. Мне ставил разные диагнозы – остеомиелит, киста, ганглия. Назначали лечение, но эффекта не было никакого. Я человек дотошный, привык всегда доходить до самой сути в любой теме, поэтому и здесь полностью погрузился в медицину. Результаты анализов я сам отправил в Москву – Центральный научно-исследовательский института травматологии и ортопедии. Так, в январе 2021 года узнал о своем диагнозе – саркома. Честно говоря, даже почувствовал облегчение, потому что исчезла эта мучительная неопределенность.
Какого-то ужаса я не испытал. Потому что для меня любое заболевание ничего хорошего не сулит. Можно умереть от гриппа и ангины. Какая разница – ну рак. Значит, это мой путь и мне надо по нему пройти. Единственное, что рак пяточной кости не давал мне полноценно ходить. Когда ждал результат гистологии, конечно, надеялся, что все еще обойдется. Что анализ покажет добро, а не зло. Но когда диагноз окончательно подтвердился, включился холодный разум. Я стал искать людей, которые разбираются в этой болезни. «Встань и иди» — вот с этой мыслью я начал действовать.
Наша справка
Остеогенная саркома пяточной кости (злокачественная опухоль кости) — это высокоагрессивное злокачественное новообразование, клетки которой происходят из костной ткани. Наиболее благоприятен прогноз в случаях, когда опухоль локализованная — то есть не успела распространиться по организму и может быть полностью удалена во время операции. Очень важен комплексный подход к терапии, необходима как предоперационная, так и послеоперационная химиотерапия, что принципиально влияет на прогноз заболевания.
— После того, как прозвучал онкологический диагноз, в поликлинике не предложили по сути никакого лечения, никуда не направили, видимо, ориентируясь на онкологическую статистику – мол, с таким диагнозом не живут, поэтому просто выписали умирать. В результате экспертов, врачей я выбирал сам. Обращался в немецкие и израильские клиники. А потом мне рассказали о Григории Владимировиче Зиновьеве, заведующем отделением опухолей костей, мягких тканей и кожи НМИЦ онкологии им. Н.Н. Петрова. Я написал ему в социальной сети, и он тут же мне ответил – уже через несколько дней я вылетел в Петербург.
Лечение было сложным. 8 циклов химиотерапии, две операции. После химиотерапии во время первой операции удалили опухоль вместе с пяточной костью и установили временный имплант (спейсер). Затем пациент получил послеоперационную химиотерапию, а потом уже заменили временный имплант постоянным эндопротезом, выполненным по индивидуальному 3D-проекту. Эндопротезирование было какое-то время под большим вопросом, так как Алексей перенес химиотерапию с серьезными осложнениями – тромбировалась яремная и подключичная вена, образовался стеноз верхней полой вены.

— На операцию я ехал как на отдых, даже друзья удивлялись, насколько меня это не пугало. А вот химиотерапия оказалась самым сложным этапом лечения. Были и реанимации, и боли, от которых я по полу валялся, — вспоминает Алексей. – После такого думаешь, что больше не пойдешь на химию, но через неделю, когда ты уже восстановился, ты уже спокойно и трезво идешь дальше.
Но мультидисциплинарная бригада врачей НМИЦ онкологии им. Н. Н. Петрова приняла решение о проведении операции. В мае 2022 года Алексей Бабенков получил, по его словам, новую «пятку».

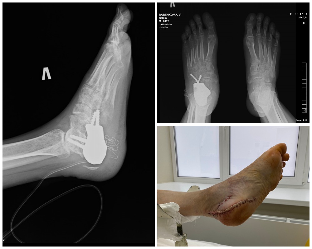
Так выглядит протез пяточной кости на рентгеновском снимке и в жизни сразу после операции
— Наша цель была – радикально удалить опухоль, которая располагалась в кости, выходила в мягкие ткани, выходила в зону сустава, вычленить эту кость с окружающими тканями и заменить ее индивидуальным З-D эндопротезом, — рассказывает Григорий Владимирович Зиновьев.
Благодаря слаженному взаимодействию биоинженеров и врачей российский производитель индивидуальных эндопротезов создал из титана прототип пяточной кости по индивидуальным размерам.
— Я могу наступать на ногу, дома вообще хожу без опоры, только на улицу пока беру костыль под локоть, — говорит Алексей. — Естественно, присутствуют болевые ощущения, так как вся берцовая кость по сути опирается на кусок железа, на протез. Но это все неважно, самое главное, что я могу ходить. Ногу мне сохранили, за что я безмерно благодарен врачам НМИЦ онкологии им. Петрова. Потому что в родном городе ногу мне хотели удалить. Местные врачи поражаются тому, что мало того, что я живой, так я еще и хожу. Удивляются, как это вообще возможно было провести такую операцию. Особенно поражаются диагносты, которые видят, как пришиты ахилловы сухожилия к протезу, как все работает – нервы, сосуды… Я общаюсь с пациентами с подобными диагнозами, некоторые лечились в зарубежных клиниках, и конечности им там не сохранили. У нас в России делают такие уникальные операции, и я хочу, чтобы все об этом знали. Сейчас я много консультирую людей, которые находятся в начале своей борьбы с онкологическим заболеванием. Многие не знают, какие есть возможности для лечения, к каким специалистам обращаться – я даю им полный расклад, так как сам прошел этот путь.

Получив успешный опыт лечения в НМИЦ онкологии им. Н. Н. Петрова, Алексей Бабенков уже сам консультирует онкопациентов со всей страны.
— Людей одолевает паника от тех слов, которые они в принципе не знают и не понимают. Слово «рак» для многих означает смерть. Это совершенно не так, но человек уже вбил ее себе в голову. Главное – жить, мотивировать себя, получать знания о своей болезни. На раке жизнь не останавливается. Естественно, после болезни я научился видеть больше, знать больше. Поэтому я стараюсь помочь больным людям, что-то объяснить, подсказать.

Сейчас Алексей Бабенков живет полноценной жизнью, обустраивает дом, который начал строить еще во время болезни, изготавливает мебель, много времени посвящает семье – жене и двум дочкам, которые вместе с ним пережили все этапы лечения и дальнейшей реабилитации. Сохранена не просто жизнь, а вся ее полнота – с возможностью передвигаться на собственных ногах, путешествовать и даже танцевать.
Если вы хотите узнать побольше о бесплатных возможностях ФБГУ НМИЦ онкологии им. Н.Н. Петрова Минздрава России, получить очную или заочную консультацию по диагностике и лечению, записаться на приём, ознакомьтесь с информацией на странице.
Если вы хотите общаться с нами через социальные сети, обратите внимание на аккаунты в ВКонтакте и Telegram.
- Плоскодетекторная компьютерная томография в интервенционной радиологии: фундаментальные принципы, современные технологии и перспективы дальнейшего развития
- Может ли экстракорпоральное оплодотворение спровоцировать рак?
- Внутрибольничная пневмония: диагностика, лечение и профилактика
- Рак и наследственность
- Профессор Светлана Кулева: «До сих просыпаюсь от страха, что иду на экзамен по взрослой хирургии»