Она боец: 16-летняя Вероника поборола лейомиосаркому
Жизнь семьи Трошиных была налажена – 5 детей, собственный дом в Кирилловском районе Вологодской области, хозяйство. Но в 2012 году все перевернулось. Средней дочери, Веронике, поставили страшный диагноз – лейомиосаркома. Как девушка поборола болезнь, читайте в нашем материале.
Справка: Сарко́ма — группа злокачественных опухолей соединительной ткани: костной, хрящевой, мышечной, жировой, стенок кровеносных и лимфатических сосудов, нервов и т.д. Примерно 50% костных сарком диагностируется в возрасте до 35 лет, основными пиками заболеваемости является второе и третье десятилетие жизни. Лейомиосаркома – это редкое новообразование, преимущественно молодого возраста.
— Как вы узнали о диагнозе? Что стало «первым звоночком»?
Вероника: В 2012 году, когда я была в 10 классе, у меня заболело колено. Я думала, что ноющие боли пройдут. Пошла на физкультуру, каталась на лыжах, упала, и нога опухла.
Наталья, мама: Вероника по жизни такой человек, она не любитель жаловаться, всё терпит. У неё опухло колено, меня это насторожило, я сказала: «Бросай уроки, мы идем к врачу». Какая-то чуйка во мне была, сработал материнский инстинкт. Мы обратились с болью в колене к травматологу в Кирилловке. Врач тут же отправил на рентген. Когда сделали расшифровку снимка, доктор попросил Веронику выйти из кабинета. Он показал мне, что идёт разрушение кости, и сказал, что медлить нельзя. Под вопросом поставили диагноз «саркома» и направили на обследование в Вологду. Там диагноз подтвердился. Хорошо, что заболевание выявили на ранней стадии.
— Как вы отреагировали на поставленный диагноз?
Вероника: Я не думала, что со мной вообще такое может произойти, я в это не верила. Мне сказали, если я не поеду на лечение в Москву или Петербург, ногу просто ампутируют. У меня была истерика: как, мне всего 16 лет, а я буду без ноги!?
Наталья, мама: В шоке был весь район, семья, друзья, знакомые. Почему? Как? Здоровый ребенок, воздух чистый, экология в регионе нормальная, овощи, молоко, мясо свои. Откуда взялось заболевание? Вообще, я сначала скрывала диагноз, думала, зачем травмировать ребенка. Но Вероника настояла и попросила показать заключение. В интернете прочитала все о болезни и спросила: «Мама, я что, могу умереть?» Я сказала, что мы поедем лечиться в Петербург.
— У вас на этом пути были какие-то трудности?
Наталья, мама: Были, мы приезжали в Вологду в детскую поликлинику к онкологу. У Вероники такой возраст, 16 лет, она ещё ребёнок, но уже как бы взрослая. Мы пришли к детскому онкологу, а он говорит: «Вы почему пришли ко мне? Кто вас направил? Вы уже взрослая». Мы поехали к взрослому, там на нас посмотрели круглыми глазами. Нас футболили от одной больницы к другой. В этот момент главное было не сдаться. Я понимала, что будущее моего ребёнка зависит только от меня, я просто была обязана найти все возможности и использовать их. Так я обратилась в департамент здравоохранения Вологодской области, в отдел организации медицинской помощи женщинам и детям. Ведущий консультант, Зинаида Вениаминовна Чертова среагировала быстро.
— Как вы попали в НМИЦ онкологии им. Н. Н. Петрова?
Наталья, мама: Нас взяла на госпитализацию одна из больниц Вологды. Мы прошли все обследования, за две недели оформили квоту в НМИЦ онкологии им. Н. Н. Петрова, а еще через две уже были в Петербурге. Нашим лечащим врачом стала Светлана Александровна Кулёва, заведующая детским отделением.
Новая жизнь с понедельника: госпитализация в НМИЦ онкологии им. Н. Н. Петрова
— Как прошло лечение в Центре онкологии им. Н. Н. Петрова?
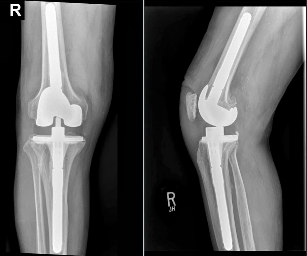
Вероника: Перед операцией, в июне, прошла 4 курса химиотерапии, чтобы уменьшилась опухоль. На август назначили операцию. У меня был поражен небольшой участок ноги, но требовалось удалить коленную чашечку и часть бедра. Мне предложили эндопротез, который позволял сохранить конечность и вести нормальную жизнь.
Наталья, мама: Нам еще повезло, что полностью все лечение и эндопротез, а в сумме это около 1 млн рублей, оплатил благотворительный фонд. Конечно, у нашей семьи таких денежных средств не было. У Вероники, можно сказать, бриллиантовая нога. Мы очень благодарны и врачам, и благотворительному фонду.

Справка: Эндопротезирование – вариант органосохраняющего лечения, при котором удаляется пораженная кость с опухолью, а на ее место устанавливается эндопротез (искусственный мегапротез или имплант). Таким образом, собственная конечность и ее функция сохраняются.
— Как быстро вы смогли встать на ноги после операции?
Вероника: Мне кажется, люди, которые привыкли двигаться, не могут усидеть на месте. В пятницу сделали операцию, и я очень ждала понедельника, чтобы встать на ноги и идти. С костылями ходила только первый день, с ними неудобно. На второй уже пошла по стеночке. В первые месяцы ощущения были не из приятных, будто всё на шарнирах, ещё мышцами всё не обросло, будто у протеза своя жизнь. Восстанавливалась я два-три месяца.
Наталья, мама: Светлана Александровна, лечащий врач, ставила её всем в пример, даже мальчишкам. Два дня прошло, а уже встала и пошла. Она такой боец, сама себе помогла своим духом, характером. Есть люди, которые раскиснут, и их ничем не встряхнуть, но это не про мою дочь.
Стать профессионалом вопреки диагнозу

— Как сложилась судьба Вероники после операции?
Наталья, мама: После операции необходимо было динамическое наблюдение и реабилитация в течение года. Поэтому дочка не ходила в школу и восстанавливалась дома и периодически лежала в больнице в Вологде. А потом пошла учиться по специальности, о которой мечтала – парикмахер.
Вероника: Правда, меня не хотели брать на учебу. Люди в приемной комиссии были в шоке и говорили: «Думай головой, профессия стоячая, а у тебя вот такая ситуация со здоровьем». Тем не менее, я окончила колледж в Вологде и уже три года работаю парикмахером, все нормально. Хочется дальше повышать квалификацию и расти в профессии.
Не падать духом
— Как подростку пережить такую ситуацию? Это же переломный момент в жизни человека. Что вы посоветуете?
Вероника: Я нашла опору и поддержку в самой себе, каждый день читала молитву. Мысли материальны. Если думать о плохом, то так и будет. Лучше думать о хорошем и надеяться на лучшее. Важно не замыкаться в себе и не отдаляться от общества. Я гуляла, общалась с волонтерами, другими ребятами из отделения, мы поддерживали друг друга. Когда отвлекаешься, то не думаешь о болезни и становится легче. Не сказала бы, что я зациклилась на этом, просто ждала, когда всё это закончится и можно будет ехать домой.
— А что посоветуете родителям?
Наталья, мама: Я как мама хочу посоветовать родителям не падать духом, не расклеиваться, не опускать руки, «бить во все колокола» и не медлить. Чем быстрее среагируешь, тем больше вероятность выздоровления. Я считаю, что именно это нам и помогло. Как мать, я понимала: если упустить время и опустить руки, можно потерять самое драгоценное – ребенка.
— А как ваша семья пережила эту историю?
Наталья, мама: У нас семья большая — три девочки, два мальчика. Они были в шоке. Сложностью стал мой отъезд на период лечения Вероники. Муж работал, поэтому все заботы по дому и хозяйству, уход за скотиной легли на плечи старшей дочери. Насте было очень тяжело, она заканчивала 11 класс, экзамены на носу. Я считаю, что она очень сильно повзрослела благодаря этому. Вообще, эта ситуация закалила нас всех.

— Сейчас чем занимаетесь вы и ваши дети?
Старшая дочь Настя окончила Вологодский государственный университет, сейчас работает по специальности – микробиологом на фабрике мороженого. Младшая дочь Ирина учится в Череповце в медицинском колледже, а младшие сыновья ‒ Никита и Паша – школьники. Я почтальон в Кирилловском районе в деревне Бураково, а отец нашего семейства, тоже Павел, машинист экскаватора.
Жизнь после рака: последствия
— Что поменяла эта болезнь в вашей жизни?
Вероника: Мне кажется, если бы не рак, сейчас я бы жила другой жизнью. Раньше я была открытая, уверенная в себе, а после болезни замкнулась. Потому что перенесенная болезнь все равно вносит ограничения в мою жизнь.
— Какие ограничения появились?
Вероника: После рака ты хочешь забыть о болезни, но не получается. Это мешает по жизни. Например, мне нельзя долго находиться на солнце. То есть уже не съездить отдохнуть на море. Протез тоже вносит определенные ограничения, поскольку сгиб колена должен составлять 90 градусов и не более. Нельзя допускать падения, за семь лет, наверное, два раза всего упала, старалась настолько аккуратно ходить. Невозможно кататься на велосипеде, нельзя кататься на лыжах, коньках и роликах, в фитнес-зале разрешено делать не все упражнения. Пришлось со всем этим распрощаться, физическая активность стала очень ограниченной. До болезни я хотела заниматься танцами, а теперь это невозможно. Всё перевернулось. Ограничения есть, но зато я жива, и нога сохранена. Друзья и близкие относятся с пониманием, оберегают меня.
Наталья, мама: Вероника всегда была очень подвижная ‒ ездила на велосипеде, купалась, ныряла. Сейчас она привыкла к ограничениям, но поначалу был сильный комплекс. Я подбадриваю её тем, что врачи сохранили ногу, они могли вообще её ампутировать. Люди живут с ограничениями, счастливы, создают семьи и занимаются любимым делом.
— Как устроена ваша жизнь теперь?
Вероника: Я стала домашней, мне неохота выезжать из Вологды. Меня спрашивали: «А вот если тебя позовут переехать в другой город?» Я говорю: «Нет.» «А место работы сменить?» Я говорю: «Нет.» Я за стабильность ‒ жить в одном городе, работать в одном месте.
— А альтернативу активному отдыху нашли?
Наталья, мама: Вместо поездки на море мы планируем отправиться в Карелию. До этого ездили в Вытегру на Онежское озеро с палатками.

— Можно ли много ходить пешком?
Вероника: В целом, да. Хотя бывает, ходишь целый день, потом нога отекает и побаливает из-за нагрузки.
Наталья, мама: Мы весь день вчера гуляли по Петербургу, катались на корабликах. Я очень переживала, что у Вероники заболит нога, но на удивление нет.
Держать руку на пульсе
— Теперь вам необходимо динамическое наблюдение? Как часто вы приезжаете в НМИЦ онкологии им. Н. Н. Петрова?
Вероника: После операции мониторинг был строгий и частый. Сейчас раз в год приезжаю к НМИЦ к лечащему врачу ‒ Светлане Александровне Кулевой. Также прохожу комплексное обследование: рентген ноги, УЗИ брюшной полости, анализы.
— Какие прогнозы?
Наталья, мама: Если соблюдать рекомендации врачей, то всё будет хорошо. Когда Вероника лежала в больнице, мы встречали людей с рецидивами. Я молю бога, чтобы такое не произошло с нами. Такого никому не пожелаешь. Это ужасно.
Если вы хотите узнать побольше о бесплатных возможностях ФБГУ НМИЦ онкологии им. Н.Н. Петрова Минздрава России, получить очную или заочную консультацию по диагностике и лечению, записаться на приём, ознакомьтесь с информацией на странице.
Если вы хотите общаться с нами через социальные сети, обратите внимание на аккаунты в ВКонтакте и Telegram.
- «99 процентов работы патологоанатома — это прижизненная диагностика». Заведующая патологоанатомическим отделением НМИЦ онкологии им. Петрова Анна Сергеевна Артемьева — о тайнах профессии
- Саркома Юинга: диагностика и лечение
- «Мечтаю о рождении первых детей»: онкогинеколог и репродуктолог Ольга Евгеньевна Лавринович – о себе и программе отложенного родительства для онкологических пациентов
- «Шока не было. Болезнь я восприняла как испытание»: 20-летняя Даша борется с острым лимфобластным лейкозом и не прекращает учебу
- «Читаем мысли хирурга». Старшая медсестра оперблока Центра Галина Мусий — о себе и профессии