Замира Ахмедовна Раджабова: о семейном даре врачевания, первом хирургическом опыте и своих учителях
Замира Ахмедовна Раджабова возглавляет хирургическое отделение опухолей головы и шеи НИИ онкологии им. Н.Н. Петрова. В институте она единственная женщина — заведующий хирургическим отделением. Женщина–хирург — явление нечастое. Профессия считается мужской, ведь она требует выносливости и силы — по 8-10 часов у операционного стола выстаивает врач, борясь за жизнь пациента днем, а иногда, и ночью.

— Замира Ахмедовна, в медицине достаточно много династий, а Вы из медицинской семьи?
Моя бабушка закончила медицинское училище, но документ об образовании не смогла получить — началась Великая Отечественная война. Во время войны она и прабабушка помогали соседям, жителям села: принимали роды, лечили — травами, которые собирали в горах и руками – сейчас это называется биоэнергетика.
Мама поступила сразу в два института – медицинский и женский педагогический институт. Но выбрала педагогический, физико-математический факультет, так как информация о ее поступлении в медицинский вуз пришла не сразу, а только через 6 месяцев после начала учебного года.
У папы не было высшего образования, но он был очень талантливым человеком – знал 7 кавказских языков, был мастером спорта по боксу, занимался спортом до конца жизни. Он был мастер на все руки – строил, чинил, мастерил и даже шил одежду.
По стопам прабабушки и бабушки пошла не только я, но и моя старшая сестра. Она тоже закончила медицинский институт, работала акушером-гинекологом и сейчас преподает студентам.
На третьем курсе Военно-медицинской Академии учится дочь и мечтает стать хирургом, хоть я ее от этого отговариваю. Получается, что в нашей семье дар врачевания, пока, передается по женской линии, хотя мой сын, который еще учится в гимназии, готовится поступать в медицинский институт.
— А Вы знаете толк в лечебных травах и народной медицине?
Да, бабушка брала меня с собой в горы собирать травы — я родом из Махачкалы, там горы везде и очень много лечебных трав. В отличие от бабушки, травами и руками я не лечу – только скальпелем.
В 6 лет мне подарили игрушечный набор врача, и я стала лечить всех вокруг — родственников, соседей, собак и кошек.
Я уже тогда хотела стать врачом, хотя, например, мне хорошо давалась математика, учась в средней школе я занималась уже высшей математикой с преподавателем старших классов. Я окончила и курсы кройки и шитья, мои работы участвовали в конкурсах. Кстати, иногда и сейчас могу что-нибудь сшить.
— Вы, наверное, были отличницей и медалисткой?
Да, я училась на одни пятерки, мне было очень легко учиться. Если бы я училась сейчас, то окончила бы, наверное, школу экстерном. Раньше это не практиковалось.
А вот медаль мне не дали, потому что на тот момент, в советские времена, были организационные сложности у детей, родители которых работали в этой же школе. К такому относились очень щепетильно.
— Значит в институт поступили легко?
Только через 2 года после окончания школы. Сразу после школы – не удалось. Правила были таковы, что мне как отличнице, но не медалистке пришлось сдавать 3 экзамена: биологию, химию, сочинение.
Первые два экзамена я сдала на отлично, а вот сочинение не успела переписать на чистовик. И мне его не зачли. Хотя, парадокс — оно попало в сборник лучших сочинений абитуриентов. Мы с мамой потом купили в книжном магазине этот сборник и там нашили мое сочинение.
При этом я умудрилась помочь другому поступающему. Увидела через плечо, что у него в сочинении полно ошибок и исправила ему их. Он потом встретил мою маму в институте и поблагодарил за то, что я помогла ему поступить.
Для того, чтобы иметь возможность сделать еще одну попытку мне нужно было два года медицинского стажа.
— И где Вы этот стаж получили?
Тогда, потерпев неудачу при поступлении, я впервые поняла, что во взрослой жизни все очень сложно и трудно. Но не стала расстраиваться и опускать руки, а устроилась работать санитаркой в Детскую Республиканскую клиническую больницу. В отделение экстренной и гнойной хирургии. Я точно знала, что буду поступать в институт до тех пор, пока не поступлю.
В те времена – в начале 90-х, была очень тяжелая ситуация с медицинскими кадрами. Их остро не хватало. И мне, санитарке, удалось и в качестве медсестры поработать и даже на операциях небольших ассистировать, в условиях перевязочной, когда была необходимость. Уже тогда я определила для себя, что хочу быть хирургом. Очень много работала с детьми.
Проработав 2 года, я поступила в медицинский институт в Махачкале.
Потом, после окончания 3 курса института, я вернулась в Детскую Республиканскую клиническую больницу работать медсестрой в отделении патологии новорожденных детей.
— А как Вы в Санкт-Петербурге оказались?
Когда я окончила институт, то уже была замужем и у меня был маленький ребенок. Мне необходимо было учиться дальше в ординатуре. И моему мужу, выпускнику Дагестанского университета, нужно было продолжить образование — он поступил в Таможенную академию в Санкт-Петербурге.
На помощь нам пришел мой старший брат, который уже давно жил в этом городе, закончил институт (ЛИИЖТ), работал инженером на РЖД.
Благодаря ему мы всей семьей оказались в Санкт-Петербурге, мой муж и я получили дальнейшее образование.
Я в 1998 г. поступила в ординатуру при НИИ онкологии им. Н.Н. Петрова и пришла на торакальное отделение в качестве ординатора, где была единственной женщиной-врачом.

Сотрудники 2-го хирургического отделения НИИ онкологии им. Н.Н. Петрова
— Как Вас приняли на отделении?
Конечно, достаточно скептически. Приходилось, да и приходиться, постоянно доказывать свою компетентность.
Я окончила ординатуру, затем аспирантуру, родила второго ребенка. Находясь на отделении, я оперировала самостоятельно под присмотром других более опытных хирургов и с их помощью. Каждый из хирургов был уникален, я многому у них научилась.
В 2005 году меня взяли на должность лаборанта–исследователя, так я стала полноценным сотрудником НИИ онкологии им. Н.Н. Петрова.
Огромное спасибо моим дорогим учителям – профессору, доктору медицинских наук Алексею Степановичу Барчуку, члену-корреспонденту, доктору медицинских наук Роберту Ивановичу Вагнеру, доктору медицинских наук Валентину Вадимовичу Анисимову, кандидату медицинских наук Александру Сергеевичу Таркову и, конечно, врачу Анатолию Николаевичу Голубеву. С ним я чаще всего вела пациентов, у него училась оперировать и переняла его манеру выполнения операций. Я ему очень благодарна за школу хирургии, уроки, которые он мне преподал вместе с профессором Робертом Ивановичем Вагнером.

Фотография операции: Вагнер Роберт Иванович и Замира Ахмедовна Раджабова
Когда руководить торакальным отделением стал Евгений Владимирович Левченко, он привнес очень много новых технологий, которые он начал внедрять в практику отделения.
В частности, в торакальном отделении стали оперировать пищевод, выполнять химиоперфузии легкого и обширные и красивые торакальные операции. У него я также многому научилась: аккуратности в операциях, тактике ведения больных, смелости в хирургических вмешательствах.

Фотография операции: Левченко Евгений Владимирович и Замира Ахмедовна Раджабова
— А как Вы стали руководителем хирургического отделения головы и шеи?
В 2013 году директор института — Алексей Михайлович Беляев принял решение выделить отделение опухолей головы и шеи из торакального отделения. Так было создано новое отделение, которое не существовало ранее самостоятельно, а только в составе торакального. Меня назначили на должность заведующего этим новым отделением.
Конечно я очень волновалась и переживала, но Алексей Михайлович доверил мне эту работу и назначил на эту должность.
Уникальные операции Замиры Ахмедовны Раджабовой и междисциплинарной команды специалистов
Междисциплинарная команда, собранная онкологом, кандидатом медицинских наук Замирой Ахмедовной Раджабовой, в составе хирургов: офтальмолога — профессора, доктора медицинских наук Ирины Евгеньевны Пановой, лор-врача, кандидата медицинских наук Максима Олеговича Кустова, самой Замиры Ахмедовны и хирургов отделения опухолей головы и шеи, осуществляет сложные хирургические вмешательства, радикально убирает опухоль, затрагивающую сразу несколько зон, а также успешно реконструирует мягкие ткани лица.
Реконструктивно-пластические операции у пациентов с злокачественными новообразованиями гортаноглотки с одномоментной пластикой дефекта выполняются совместно с руководителем хирургического торакального отделения Е.В. Левченко.
Осуществляется лечение пациентов и выполняются расширенные операции на шее и на органах полости рта с резекцией костей лицевого скелете и одномоментной реконструктивной и микрохирургической пластикой дефекта при злокачественных опухолях орофарингеальной зоны, костей лицевого скелета.
Проводится многоэтапное лечение пациентов с злокачественными опухолями носоглотки совместно с НИИ нейрохирургии им. А.Л. Поленова с использованием химиоэмболизации сосудов первичной опухоли и дальнейшей химиолучевой терапией.
Фото пациентов до и после удаления злокачественных опухолей кожи с распространением на несколько зон лицевого скелета с одномоментной реконструктивной пластикой.


Местно-распространенный Базальноклеточный рак кожи левой щеки с разрушением костей носа


Состояние после хирургического лечения через 2 года после операции

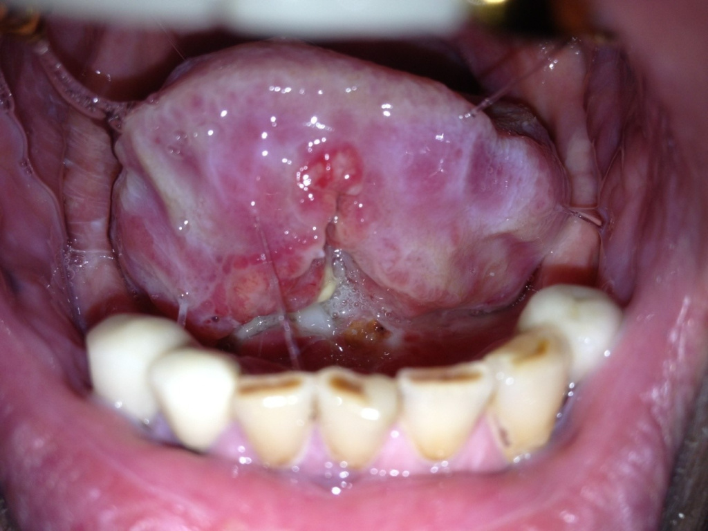
Фото первичной опухоли, плоскоклеточный рак слизистой дна полости рта с переходом на язык

Удаление опухоли ротовой полости с одномоментной реконструктивной пластикой дефекта
Если вы хотите узнать побольше о бесплатных возможностях ФБГУ НМИЦ онкологии им. Н.Н. Петрова Минздрава России, получить очную или заочную консультацию по диагностике и лечению, записаться на приём, ознакомьтесь с информацией на странице.
Если вы хотите общаться с нами через социальные сети, обратите внимание на аккаунты в ВКонтакте и Telegram.
- Плоскодетекторная компьютерная томография в интервенционной радиологии: фундаментальные принципы, современные технологии и перспективы дальнейшего развития
- Может ли экстракорпоральное оплодотворение спровоцировать рак?
- Внутрибольничная пневмония: диагностика, лечение и профилактика
- Рак и наследственность
- Профессор Светлана Кулева: «До сих просыпаюсь от страха, что иду на экзамен по взрослой хирургии»