Саркома матки
По данным Всемирной организации здравоохранения злокачественные новообразования матки занимают третье место среди злокачественных опухолей у женщин. Ежегодно регистрируется более 20 000 первичных случаев, в Санкт-Петербурге – около 1000 случаев. В структуре причин онкологической смертности женщин злокачественные новообразования матки занимают 9-е место. Саркомы матки составляют 3-7% от всех злокачественных опухолей матки. Их редкость и гистологическое многообразие является причиной отсутствия единого мнения о неблагоприятных факторах прогноза и оптимального лечения.

Факторы риска развития сарком матки
В настоящее время причины, вызывающие появление данного новообразования, практически не подлежат выявлению.

Также периодически возникают случаи, когда ранее диагностированные лейомиомы и полипы эндометрия становятся злокачественными. Длительное использование Тамоксифена для профилактики и лечения рака молочной железы может повышать риски развития сарком матки. Зарегистрированы случаи радиоиндуцированных сарком спустя длительное время после лечения других ЗНО.
Гистологические типы
Наиболее частыми являются: карциносаркома (в 50% случаев) и лейомиосаркома (30%). Реже встречаются: аденосаркома (5-10%), эндометриальные стромальные саркомы высокой степени злокачественности и низкой степени злокачественности (15%), крайне редко выявляются чистые гетерологичные опухоли (рабдомиосаркома, хондросаркома).
Симптомы и первые признаки заболевания
Средний возраст больных саркомой матки колеблется от 40 до 65 лет, но встречается и в более молодом возрасте. В основном это женщины старше 40 лет с ациклическими кровянистыми выделениями, вплоть до кровотечений – 56%, пальпируемое образование в малом тазу – 54% и/или боли внизу живота, также могут встречаться дизурические расстройства вплоть до острой задержки мочи, запоры. Развитие опухолевого процесса может сопровождаться общими симптомами: слабостью, потерей массы тела, анемией, длительным субфебрилитетом. Тем не менее, в 25% случаев заболевание протекает бессимптомно.
Диагностика
Нередко опухоль обнаруживают случайно после операции, выполненной по поводу менометроррагии, миомы матки. Предоперационная биопсия из полости матки может не выявить опухоль.

Окончательный диагноз устанавливают после гистологического исследования удаленной опухоли.

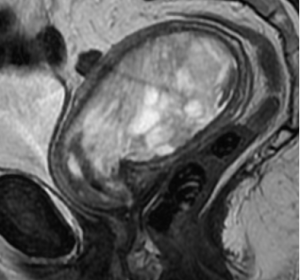
Рис. 1 Карциносаркома на МРТ органов малого таза

Рис. 2 Эндометриальная стромальная саркома матки низкой степени злокачественности
Лечение
Основным методом лечения сарком матки является хирургический. Оптимальным доступом является лапаротомный. Объем оперативного вмешательства включает в себя экстирпацию матки с придатками или циторедуктивную операцию в случае выхода поражения за пределы матки.
При ранней стадии лейомиосаркомы в репродуктивном возрасте аднексэктомия является необязательной. На дальнейший прогноз и выживаемость оставление яичников не влияет.
Эндометриальная стромальная саркома гормоночувствительна, в связи с этим сохранение яичников повышает риски развития рецидива заболевания практически до 100%.
Удаление тазовых и парааортальных лимфатических узлов нецелесообразно, так как их поражение наблюдается менее чем в 3% случаев. Исключением является карциносаркома поскольку частота метастазирования в тазовые лимфатические узлы крайне высокая.
В качестве адъювантного лечения в зависимости от типа опухоли проводится лучевая терапия и/или системная лекарственная терапия.

Рис. 3 Макропрепарат после экстирпации матки (эндометриальная стромальная саркома)
Прогноз
Стадия заболевания и гистологический тип опухоли – наиболее важные прогностические факторы. Саркомы матки являются редкими опухолями женских гениталий с неблагоприятным прогнозом, за исключением эндометриальной стромальной саркомы, при которой пятилетняя выживаемость у пациентов с I и II стадией 90% , при III и IV стадии – 50%.
Недифференцированная эндометриальная саркома является очень агрессивной опухолью с наиболее неблагоприятным прогнозом (выживаемость менее 2 лет). Практически 60% выявляются на 3-4 стадии заболевания.
Рецидив при лейомиосаркоме выявляется в 53-70% случаев. Общая пятилетняя выживаемость колеблется от 15% до 25%.
Карциносаркома наиболее частая опухоль в этой группе. Клиническое течение обычно агрессивное со значительно худшим прогнозом, чем при низкодифференцированном эндометриальном раке. Пятилетняя выживаемость составляет 30%, при I стадии приблизительно 50%. Определяющими прогностическими факторами являются стадия опухоли и характеристика эпителиального компонента (рак высокой степени злокачественности, включая серозный и светлоклеточный, связан с худшим прогнозом).
Аденосаркомы составляют 5-10% от всех сарком матки. Около 25% пациентов умирает от данного заболевания.

Список литературы:
- Бохман Я.В., Урманчеева А.Ф. Саркомы матки (монография). – СПб, Гиппократ. – 1996. – 128 с.
- Урманчеева А.Ф. Пути улучшения диагностики, лечения и постановки прогноза сарком тела матки //Автореферат диссертации на соискание ученой степени доктора медицинских наук. –1994. – Ленинград. – 46 с.
- Reed N., Green J.A., Gershenson D.M., Siddiqui N., Connor R. Rare and Uncommon Gynecological Cancers. A Clinical Guide // Springer. – 2011. – 233 p
- Giuntoli RL 2nd, Metzinger DS, DiMarco CS, et al. Retrospective review of 208 patients with leiomyosarcoma of the uterus: Prognostic indicators, surgical management, and adjuvant therapy. Gynecol Oncol. 2003;89:460–469
- Lavie O, Barnett-Griness O, Narod SA, et al. The risk of developing uterine sarcoma after tamoxifen use. Int J Gynecol Cancer. 2008;18:352–356.
- Gadducci A., Cosio S., Romanini A., Genazzani A.R. The management of patients with uterine sarcoma:A debated clinical challenge // Crit. Rev. Oncol. Hematol. – 2008, Feb. – Vol.65(2). – P.129142.
- Abeler VM, Royne O, Thoresen S, et al. Uterine sarcomas in Norway. A histopathological and prognostic survey of a total population from1970 to 2000 including 419 patients. Histopathology. 2009;54:355–364.
- D’Angelo E, Spagnoli LG, Prat J. Comparative clinicopathologic and immunohistochemical analysis of uterine sarcomas diagnosed using the World Health Organization classification system. Hum Pathol. 2009;40:1571–1585.
- Chan JK, Kawar NM, Shin JY, et al. Endometrial stromal sarcoma: A population-based analysis. Br J Cancer. 2008;99:1210–1215
- Clement PB, Scully RE. Mullerian adenosarcoma of the uterus: A clinicopathologic analysis of 100 cases with a review of the literature. Hum Pathol. 1990;21:363–381
- Reich O., Regauer S. Hormonal therapy of endometrial stromal sarcoma // Curr. Opin. Oncol. – 2007. – Vol.19. – P.347-352
Если вы хотите узнать побольше о бесплатных возможностях ФБГУ НМИЦ онкологии им. Н.Н. Петрова Минздрава России, получить очную или заочную консультацию по диагностике и лечению, записаться на приём, ознакомьтесь с информацией на странице.
Если вы хотите общаться с нами через социальные сети, обратите внимание на аккаунты в ВКонтакте и Telegram.
- Плоскодетекторная компьютерная томография в интервенционной радиологии: фундаментальные принципы, современные технологии и перспективы дальнейшего развития
- Может ли экстракорпоральное оплодотворение спровоцировать рак?
- Внутрибольничная пневмония: диагностика, лечение и профилактика
- Рак и наследственность
- Профессор Светлана Кулева: «До сих просыпаюсь от страха, что иду на экзамен по взрослой хирургии»