Рак носоглотки
Злокачественная опухоль представляет собой разрастание эпителиальных клеток неороговевающего слоя органа.
Строение полости
Носоглотка – это полость, соединяющая верхнюю часть гортани с носовыми проходами. Она начинается от задней поверхности твердого неба. Ее анатомическое строение следующее:
- верхний свод, состоящий из затылочной кости и клиновидной кости. Он начинается от точки соединения твердого и мягкого неба и заканчивается в точке основания черепа;
- задний свод, отделенный первыми двумя шейными позвонками. Он состоит из лимфоидной ткани, которая сливается в глоточную миндалину;
- передняя стенка. Соединена с носовыми ходами хоанами – овальными отверстиями, через которые проходит воздух. Она образована задней частью мягкого неба;
- боковые стенки. В их плоскости носоглотка соединяется со средним ухом евстахиевыми трубами, которые отделяются трубным валиком. Соединение боковых стенок образует глоточный карман.
Злокачественная опухоль носоглотки прорастает в нескольких направлениях:
- в среднюю черепную ямку и клиновидную пазуху;
- в полость носа, решетчатый лабиринт, крыловидный отросток, гайморовы пазухи, крылонебную ямку;
- в пространство между крыловидной мышцей, предпозвоночной фасцией, околоушной железой;
- в шейные позвонки, заднюю черепную ямку и спинной мозг;
- в кавернозный синус, рваное отверстие и каротидный канал.

Классификация
В зависимости от морфологии и локализации патологии онкологические процессы делятся на несколько групп:

Юношеская ангиофиброма диагностируется наиболее часто среди доброкачественных опухолей носоглотки. В половине случаев опухоль начинается на верхней стенке органа в глоточно-основной фасции свода. Реже патология зарождается в клиновидной кости или надкостнице шейных позвонков. Доброкачественное новообразование бывает сфеноэтмоидальным, базальным и крыловерхнечелюстным. Оно состоит из сплетения кровеносных сосудов с плотными участками соединительной ткани, участков гиалиноза, некротических фокусов, миксоидного отека и кровоизлияний. В основном патология развивается у мальчиков-подростков. В момент полового созревания опухоль или затухает, или стремительно развивается. В последнем случае эпителиальные клетки быстро прорастают в основание черепа, глазницу, пазухи носа и саму полость носа.
В числе наиболее выявляемых злокачественных опухолей носоглотки стоит отметить поражения эпителиального слоя – недифференцированный рак, плоскоклеточный ороговевающий рак, плоскоклеточный неороговевающий рак. Эти виды опухолей диагностируются в 70% случаев. Строение злокачественных опухолей идентичное с раком слизистых на других участках тела. Микроскопия недифференцированного рака отличается преобладанием в составе новообразования округлых клеток, мелких тяжей, пучков, солидных структур. В основном недифференцированный тип выявляется у больных вирусом Эпштейна-Барр.
Классификация TNM
В медицинской практике распространение эпителиальных злокачественных клеток подразделяется на следующие группы:


Причины возникновения
Из числа всех онкологических заболеваний рак носоглотки встречается у 0,1-3% больных. Исходя из практики, больше всего болезни подвержены мужчины-азиаты в возрасте до 25 лет и после 40-летнего рубежа. В России заболеваемость составляет 0,1-0,2%, при этом у мужчин рак диагностируется чаще, чем у женщин.
Отличительная черта рака носоглотки – отсутствие влияния вредных привычек на рост злокачественных клеток. Заболевание не связано с курением или употреблением алкоголя.
В группу риска попадают больные, у которых выявлены хронические метаплазийные или гиперлазийные воспалительные процессы слизистой носоглотки. Также на формирование патологической среды влияет инфицирование вирусом Эпштейна-Барр.
Симптомы
Клинические особенности доброкачественной опухоли носоглотки завуалированы. Поначалу сложно определить заболевание, ведь симптомы схожи с обычными проявлениями ЛОР-болезни:
- затрудняется дыхание носом с одной стороны или полностью с двух носовых проходов;
- иссыхает слизистая горла;
- из носа выделяется слизь с примесью гноя;
- иногда возможны носовые кровотечения;
- голос гнусавит.
Опухоль быстро увеличивается в размере. На снимках она показывается в виде ярко-красного полипа, который по мере роста округляется и синеет. Через время изменяется форма мягкого неба, а форма верхней челюсти изменяется. У больного становятся выпученными глаза, кровотечения из носа усиливаются, а дыхание носом невозможно.
Признаки злокачественной опухоли носоглотки зависят от направления роста и точного расположения патологического узла. В зависимости от направления роста рак бывает экзофитным, дольчатым, эндофитно-язвенным. В первом случае очаг патологии в своде носоглотки, который быстро разрастается в орбиту и носовую полость. Врач видит четкие границы опухоли, а слизистая оболочка не изменяется. Больной жалуется на кровотечение из носа и сложное дыхание. Эндофитно-язвенная опухоль образуется на задней стенке носоглотки. Она медленно развивается, поэтому носовые выделения слабые. Пациент жалуется на головную боль и снижение остроты слуха с одной стороны. Врач при осмотре выявляет бугорок без четких границ с красной каймой слизистой оболочки. Дольчатая опухоль подразумевает поражение устья слуховой трубы, поэтому снижается слух, а из носа выделяется обильно слизь и кровь. По мере роста новообразования сжимаются черепно-мозговые нервы, в результате чего присоединяется неврологическая симптоматика.
Клиническая картина злокачественного рака носоглотки:
- болезненность на надбровной дуге, на верхней челюсти;
- понижение чувствительности век и оба из-за вовлечения в патологический процесс тройничного нерва;
- паралич мягкого нерва слева или справа из-за сдавливания блуждающего и добавочного нерва. Иногда парализуется гортань и глотка с последующим нарушением глотательной функции по той же причине;
- повышение чувствительность ушей;
- кашель;
- одышка.
Отличительная черта злокачественной опухоли носоглотки – раннее метастазирование. Очаги появляются в лимфатических узлах вдоль спинномозгового корешка добавочного нерва, глубоких яремных лимфатических узлах, заглоточных лимфатических узлах на шее. У каждого больного количество и расположение метастазов различно. Зачастую они сливаются воедино, вызывая сильнейшую боль и нарушенную иннервацию глаза. Отдаленные метастазы развиваются при разрастании регионарных более чем на 6 см. Очаги прорастают в костях скелета, в почки, печень и легкие.

Диагностика
Дифференциальная особенность доброкачественной опухоли заключается в рассмотрении красного новообразования с гладкими стенками посредствам риноскопии. Если опухоль выпирает в ротоглотку, при прикосновении к ней металлическим инструментом она кровоточит. Рентгенография подтверждает разрушение клиновидной кости.
В отличие от юношеской ангеофибромы, злокачественные новообразования проще диагностируются, но из-за позднего обращения к врачу сложно определить точную локализацию опухоли. Аппаратное и инструментальное обследование сводится к следующему:
- фиброскопия с прицельной биопсией с последующим гистологическим и цитологическим анализом;
- пункция увеличенных лимфатических узлов;
- рентгенография носа и его пазух, носоглотки в боковой и прямой проекциях;
- УЗИ шейных лимфатических узлов;
- анализ крови для поиска антигенов к вирусу Эпштейна-Барр;
- фиброэпифарингоскопия через ротоглотку и нос, результаты которой отправляются на цитологическое исследование;

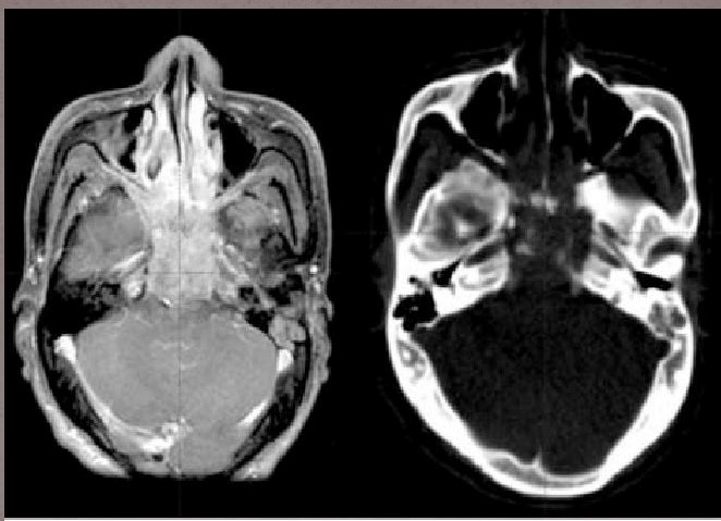
- КТ или МРТ. Томография показывает точную локализацию опухоли и ее распространение. Снимки визуализируют поражение межмышечной клетчатки нервов, разрушение костей основания черепа. Только по результатам магнитно-резонансной томографии удается выявить двустороннюю локализацию опухоли, в то время как другие методы исследования показывают наличие только на одной стороне лимфатических узлов. На поздних стадиях МРТ показывает прорастание опухоли в костные структуры, заглоточные лимфатические узлы и вещество головного мозга.

Лечение
Юношеская ангиофиброма сложно поддается лечению. Так, лучевая терапия не оказывает должного результата, поэтому операция обязательна. Хирургическое вмешательство проводится эндоназально при условии отсутствия метастазов в пазухах носа и орбите. Если опухоль проросла в скулы, орбиту, нос или его пазухи, ее удаляют через глотку и рот, используя верхнечелюстной доступ.
Лечение злокачественной опухоли носоглотки делится на несколько этапов.
Лучевая терапия
Метод подходит для лечения онкологии первой стадии. Врач подбирает высокую дозу облучения для устранения первичной опухоли и ее метастазов в лимфатических узлах. Злокачественные клетки в носоглотке чувствительны к облучению, поэтому эффективность лечения высока. Дополнительно курс лучевой терапии шейных лимфатических узлов проводится отдельными полями с профилактической целью после пройденного курса терапии.
Радиолог назначает два курса облучения с перерывом в 14 дней. Суммарная очаговая доза за все сеансы не превышает 70 гр. После достижения зоны 40-50 гр объем облучения уменьшается, пока не достигнет суммарной дозы. Наибольшая эффективность лечения достигается при увеличении суммарной очаговой дозы до 60-69 гр.
После терапии опухолевые клетки остаются у 40% больных. Вероятность рецидивов снижается практически до 6%, если источник радиоактивного облучения вводится в носоглотку автоматически или вручную. Этот способ помогает повысить очаговую дозу до 90-120 гр. Внутриполостное облучение, очаговая доза которого 6-7 гр за сеанс с перерывов в одну неделю на протяжении 21 дня, не вызывает осложнений в позднем периоде. Подобный способ помогает достичь пятилетней ремиссии.
В сферу облучения входит не только первичная опухоль, но и шейно-надключичные, заглоточные лимфатические узлы с двух сторон, парафарингеальное пространство, основание черепа. Поскольку рядом с этими участками находятся жизненно-важные органы, на которые нежелательно направлять облучающие лучи, радиолог тщательно подбирает программу облучения. Обычно лучевое воздействие начинается с участков регионарного лимфооттока и щечно-височных фигурных полей. Если злокачественные клетки обнаружили в полости носа и его пазухах, то доза облучения распределяется с помощью фигурных полей с зоны скул и заушных лимфатических узлов.
На сегодняшний день используются не только стандартные программы облучения. Трехплоскостное планирование обучения оптимально распределяет дозу между самой опухолью и окружающими тканями, поэтому нагрузка на ткани вокруг снижается.
Если после курса лучевой терапии остались метастазы на шее, то осуществляется операция. Если рак носоглотки диагностирован уже на второй стадии, проводится химиолучевая терапия. В целом облучение помогает достичь ремиссии практически 90% больным. Продолжительность жизни на 5 лет повышается на 53%, на 10 лет повышается на 45%, на 20 лет – на 39%. Однако стоит отметить, что у каждого третьего больного возникают отдаленные метастазы после пройденного курса лечения.
Химиотерапия перед операцией
Неоадъювантная химиотерапия вкупе с лучевой терапией назначается при высокой склонности к метастазированию, диагностировании недифференцированного рака.
Назначается 2-3 курса. Больному вводятся препараты цетуксимаба, блеомицина, доксорубицина, винбластина, платинов, винкристина, метотрексата, циклофосфомида, а через 14 день после начала приема приступают к облучению.
Основные схемы лечения таковы:
- 5-фторурацил с цисплатином. Препараты вводятся инфузионно на протяжении четырех суток. В некоторых случаях для усиления эффекта схема дополняется лейковорином. После химиотерапии клетки опухоли распадаются в половине случаев, а если химиотерапия использовалась вместе с облучением, раковые клетки распадаются практически у 80% больных. Подобные схемы приема препаратов на протяжении первой и шестой недели облучения эффективны для локализованной опухоли и местных форм рака носоглотки. Выживаемость больных на третьей стадии рака – 87,7%, на четвертой стадии – 51,9%. Выживаемость больных с первой стадией онкологии при лучевой терапии – 91,7%, при химиотерапии вкупе с лучевой терапией – 96,6%.
Быстро добиться ремиссии и местного излечения помогает схема приема цисплатина, фолиевой кислоты, 5-фторурацила вкупе с лучевой терапией на первой, четвертой, седьмой и десятой недели. После этого осуществляется фракционирование в динамическом режиме – суммарная доза 80 гр, а препараты принимаются сначала по 2 гр на протяжении второй и третьей недели пять дней подряд, а потом по 1,5 гр дважды в день на протяжении пятой, шестой, восьмой и девятой недели лечения. - Эпирубицин с цисплатином. Принимаются в рамках химиотерапии или химиотерапии вкупе с облучением. Цисплатин принимается в дозировке 60 мг/м2, а эпирубицин – 110 мг/м2. Такая схема помогает достичь высоких результатов лечения и выживаемость больных без последующих рецидивов.
Стоит отметить результативность этой схемы при метастазировании, когда узлы превышают 6 см. Выживаемость в этом случае составляет 73% с рецидивами и 63% без рецидивов. - Эпирубицин, цисплатин и блеомицин. Схема приема такова – сначала однократно принимается в первый день 15 мг блеомицина, затем он подается инфузионно следующие пять суток в дозировке 12 мг/м2. Эпирубицин используется в первый день дозировкой 70 мг/м2, а цисплатин в первый день дозировкой 100 мг/м2. Всего проводится три таких курса, а затем подключается облучение суммарной очаговой дозой 70 гр на протяжении семи недель. В этом случае выживаемость 63% в течение пяти лет и 59% на протяжении 10 лет.
В настоящий момент эти схемы лечения подтвердили свою эффективность, но специалисты продолжают изучать новые схемы применения таксанов. Локализованный рак носоглотки может быть вылечен посредством лучевой терапии, при этом эффективнее метод внутриполостного облучения. Если диагностировано местное распространение злокачественных клеток, а также метастазы на шее, то проводится химиолучевая терапия. При полном разрушении раковых клеток проводится адъювантная химиотерапия для предотвращения образования метастазов в легких, печени и почках. Если первичная опухоль распалась, а остались остаточные метастазы, то проводится операция Крайля через месяц-полтора после прохождения химиотерапии.
Прогноз
В целом лечение доброкачественной опухоли носоглотки благоприятное, если операция проведена на начальной стадии развития заболевания, однако стоит отметить склонность к рецидиву.

Прогноз лечения недифференцированного рака неуточненный. Как правило, новообразование метастазирует и в возрасте 40 лет диагностируется рецидив. Исходя из практики, на выживаемость влияет морфология опухоли, наличие метастазов, распространение раковых клеток. Выживаемость на протяжении пяти лет подтверждается у больных недифференцированным раком носоглотки в 52%, а у больных плоскоклеточным раком носоглотки в 18%.
Список литературы:
- Алиев Б.М., Гарин А.М., Кошалиев Э.Ш. Сравнительная оценка эффективности лучевого и химиолучевого лечения местнораспространенного рака носоглотки III–IV стадиями заболевания // Мед. радиол. – 2014. – N 7. – С. 25–30.
- Алиев Б.М., Чуприк -Малиновская Т.П., Нечушкин М.И., Марьина Л.А. К методике дополнительного облучения больных раком носоглотки (60 Гр+30 Гр) // Вестн. ОНЦ РАМН. – 2010. – N 2. – С. 18–21.
- Алиев Б.М., Гарин А.М., Чуприк-Малиновская Т.П. Рак носоглотки: опыт лучевого и химиолучевого лечения // Вестн. ОНЦ РАМН. –2013 . – N 1. – С. 26–32.
- Белоусова Н.В., Поддубный Б.К., Унгиадзе Г.В., Кондратьева Т.Т. и др. Современная диагностика рака носоглотки // Соврем. онкол. – 2015. – Т. 2, N 3. – С. 3–11.
- Ганцев Ш.Х. онкология – М, 2012 г – С.204-205.
- Избранные лекции по клинической онкологии/Под ред. В.И. Чиссова, С.Л. Дарьяловой. – М., 2010г.
- Матякин Е.Г., Алферов В.С. Химиотерапия опухолей головы и шеи // Мат. 2й Рос. онкол. конф. «Современные тенденции развития лекарственной терапии опухолей» 8–10 декабря 2016 г. – М., 256с.
- Павлов А.С., Стиоп Л.Д. Злокачественные опухоли носоглотки и их лучевое лечение. – М.: Медицина, 2015. – 240 с.
- Пачес А.И. Опухоли головы и шеи. – М., практическая медицина,2018-478 с.
- Чуприк-Малиновская Т.П., Алиев Б.М. Рак носоглотки: состояние диагностики и отдаленные результаты лечения // Клин. Вестн. МЦ при Правительстве РФ. – 1993. – N 1. – С. 14–15.
- Энциклопедия клинической онкологии/Под ред. М.И. Давыдова. – М.,2014г. –С.140-179.
- Chan A.T., Teo P.M., Leung T.W., Johnson P.J. The role of chemotherapy in the management of nasopharyngeal carcinoma // Cancer. – 2012. – Vol. 82(6). – P. 1003–1012.
- Cheng S.H., Tsai S.Y., Yen K.L. et al. Concomitant radiotherapy and chemotherapy for earlystage nasopharyngeal carcinoma // J. Clin. Oncol. – 2015. – Vol. 18(10). – P. 2040–204.
- Cheng S.H., Jian J.J., Tsai S.Y. et al. Longterm survival of nasopharyngeal carcinoma following concomitant radiotherapy and chemotherapy // Int. J. Radiat. Oncol. Biol. Phys. – 2015. – Vol. 48(5). – P. 1277–1279.
- Chua D.T., Sham J.S., Choy D. et al. Preliminary report of the AsianOceaninan Clinical Oncology Association randomized trial comparing cisplatin and epirubicin followed by radiotherapy versus radiotherapy alone in the treatment of patients with locoregionally advanced nasppharyngeal carcinoma. AsianOceanian Clinical Oncology Association Nasopharynx Cancer Study Group [see comments] // Cancer. – 2014. – Vol. 83(11). – P. 2270–2283.
- Cooper J.S., Lee H., Torrey M., Hochster H. Improved outcome secondary to concurrent chemoradiotherapy for advanced carcinoma of the nasopharynx: preliminary corroboration of the intergroup experience / Int. J. Radiat. Oncol. Biol. Phys. – 2010. – Vol. 47(4). – P. 861–866.
- Cox J.D., Pajak T.F., Marcial V.A. Doseresponse for local control with hyperfractionated radiation therapy in advanced carcinomas of the upper aerodigestive tracts: preliminary report of radiation therapy oncology group protocol 83–13 // Int. J. Radiat. Oncol. Biol. Phys. – 2011. – Vol. 18, N 3. – P. 515–521.
Если вы хотите узнать побольше о бесплатных возможностях ФБГУ НМИЦ онкологии им. Н.Н. Петрова Минздрава России, получить очную или заочную консультацию по диагностике и лечению, записаться на приём, ознакомьтесь с информацией на странице.
Если вы хотите общаться с нами через социальные сети, обратите внимание на аккаунты в ВКонтакте и Telegram.
- Плоскодетекторная компьютерная томография в интервенционной радиологии: фундаментальные принципы, современные технологии и перспективы дальнейшего развития
- Может ли экстракорпоральное оплодотворение спровоцировать рак?
- Внутрибольничная пневмония: диагностика, лечение и профилактика
- Рак и наследственность
- Профессор Светлана Кулева: «До сих просыпаюсь от страха, что иду на экзамен по взрослой хирургии»