Рак шейки матки
Одним из самых распространенных и опасных онкологических заболеваний у женщин является рак шейки матки, затрагивающий наиболее молодую часть женского населения в возрасте от 20 до 45 лет.

Рис. 1 Нормальная шейка матки

Рис. 2 Опухоль шейки матки
По данным всемирной статистической онкологической службы рак шейки матки занимает 4-е место в мире среди злокачественных новообразований. Ежегодно в России регистрируется более 16000 первичных случаев, в Санкт-Петербурге около 500 случаев. На территории Российской Федерации рак шейки матки является причиной смерти 24% женщин в возрасте от 30 до 39 лет и 14% женщин в возрасте от 40 до 49 лет.
Факторы риска рака шейки матки
Причинами развития рака шейки матки и предшествующих диспластических изменений является ряд следующих факторов:
- раннее начало половой жизни (14-18 лет);
- частая смена половых партнеров (более 5), в т.ч. партнерами мужчинами;
- травмы шейки матки после родов и медицинских манипуляций (аборты, выскабливания);
- фоновые заболевания шейки матки (эктопия, дисплазия средней и тяжелой степени);
- прием оральных контрацептивов и, как следствие, отказ от барьерных методов контрацепции, тем самым повышенный риск заражения инфекциями, передающимися половым путем, в том числе вирусом папилломы человека (ВПЧ).
Наиболее опасными из онкогенной группы вирусов являются 16 и 18 тип. Длительное присутствие данного типа вируса в клетках шейки матки приводит к мутациям, которые являются основой для появления раковой клетки. Важно понимать, что человек может заразиться несколькими типами вируса одновременно.
Симптомы и первые признаки рака шейки матки
Это злокачественное заболевание длительный период времени может протекать бессимптомно и не диагностироваться на ранних стадиях из-за отсутствия своевременной диспансеризации.
Основными признаками опухоли шейки матки являются:
- кровянистые выделения из половых путей, часто усиливающиеся после полового контакта
- изменения характера и длительности менструации
- боли внизу живота, с иррадиацией в спину и заднюю поверхность бедра.
При запущенных стадиях возможно прорастание опухоли в близлежащие органы — прямую кишку, мочевой пузырь, сдавление мочеточников с нарушением отхождения мочи и появлением болей в области почек. Поэтому ежегодный осмотр онкогинеколога своевременно позволит верифицировать патологический процесс и выполнить весь комплекс необходимых диагностических манипуляций.
Диагностика рака шейки матки
Рак шейки матки относится к опухолям визуальной локализации.
Кроме того это единственная опухоль, для которой существует доступный скрининг-тест — цитологическое исследование мазков с поверхности шейки матки и цервикального канала, также известный как мазок на онкоцитологию или PAP-тест. Данный вид исследования является весьма чувствительным для диагностики фоновых предраковых изменений (дисплазий) и начальных стадий рака шейки матки.
Часто диагноз устанавливается на основании гистологического исследования материала, взятого методом биопсии пораженного участка, после выявления атипичных клеток при цитологическом скрининге. Нередко в качестве достоверного гистологического подтверждения осуществляется минимальное хирургическое вмешательство — конизация шейки матки (электро/лазеро/радиоволновая, холодно/ножевая), позволяющая адекватно диагностировать глубину и протяженность опухолевого процесса шейки матки.

Кроме исследования непосредственно опухолевой ткани, также необходимо оценить состояние регионарных лимфооузлов и распространенность онкологического процесса на соседние и отдаленные органы — печень, легкие, головной мозг, кости.
- Цистоскопия (исследование мочевого пузыря);
- Колоноскопия (исследование прямой кишки);
- Рентгенографии органов грудной полости;
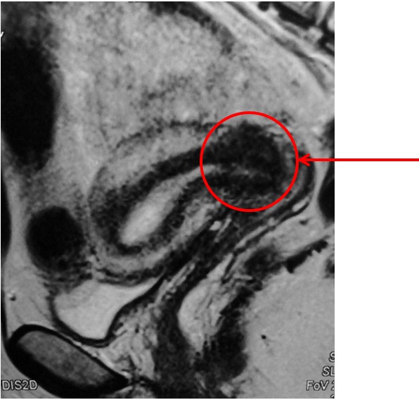
- Магнитно-резонансной томография (МРТ) органов малого таза; (рис 4.)
- Компьютерная томография (КТ) органов брюшной полости

Рис. 4 МР-признаки опухоли шейки матки
Данные выполненных исследований позволяют установить стадию рака шейки матки и определить индивидуальную тактику лечения.
Лечение рака шейки матки
Анатомическая сложность локализации опухолевого процесса объясняет и не менее сложные методы лечения рака шейки матки. Планирование терапии рака шейки матки включает консервативное лечение в виде химиотерапии и лучевой терапии, однако ведущим и эффективным методом лечения рака шейки матки остается хирургический. Нередка комбинация этих методов. Радикально выполненная операция обуславливает большую эффективность химиотерапии и лучевой терапии, что улучшает прогноз заболевания и общую выживаемость.
Объем операции определяется для каждой пациентки индивидуально в соответствии со стадией заболевания и гистологической характеристикой опухоли. Возраст женщины играет немало важную роль в определении тактики лечения, поскольку большая часть пациенток, страдающих данным заболеванием, находится в репродуктивном периоде и активно заинтересованы в дальнейшем планировании беременности. Поэтому важно выполнять лечение только в специализированных учреждениях, где активно используются все возможности современной хирургии (Рис.5).

Рис. 5 Типичное положение троакаров при выполнении лапароскопических операций.
В ФГБУ «НИИ онкологии им. Н.Н. Петрова» квалифицированными хирургами с использованием новейшей видео-эндоскопической аппаратуры, а также стандартного открытого лапаротомного доступа выполняется любой и самый сложный объем операций при раке шейки матки.
Уровни хирургических вмешательств включают нервосберегающие расширенные экстирпации матки с тазовой лимфодиссекцией — удаление матки с регионарными лимфатическими узлами. (Рис. 6)

Рис. 6 Макропрепарат после лапароскопической нервосберегающей радикальной гистерэктомии с тазовой лимфодиссекцией и транспозицией яичников у пациентки 37 лет.
Данный объем операции при высокой радикальности характеризуется сохранением иннервации тазовых органов, в том числе мочевого пузыря, что позволяет более чем на 90% избежать послеоперационного нарушения мочеиспускания.
Также у пациенток молодого возраста, нереализовавших детородную функцию, выполняется такая операция, как трахелэктомия — удаление шейки матки с сохранением тела матки. Трахелэктомия как высокотехнологичный перспективный метод хирургического лечения рака шейки матки у женщин молодого возраста при I стадии заболевания заключается в сохранении тела матки и формирования анастомоза с влагалищем, что в дальнейшем способствует возможности планирования беременности и реализации репродуктивной функции.

Прогноз заболевания и динамическое наблюдение
Злокачественные опухоли шейки матки начальных стадий можно отнести к заболеваниям с относительно благоприятным прогнозом. Однако общая 5-летняя выживаемость больных, получивших лечение в специализированных клиниках, достигает не более 65% .
Поэтому после завершения всех этапов лечения пациенту необходимо находится под строгим динамическим наблюдением врача онколога-гинеколога и проходить регулярные обследования для исключения рецидива заболевания.
Большинство больных раком шейки матки, узнает свой диагноз в достаточно молодом возрасте, и с последствиями болезни и лечения им приходится жить много лет.
Если вы хотите узнать побольше о бесплатных возможностях ФБГУ НМИЦ онкологии им. Н.Н. Петрова Минздрава России, получить очную или заочную консультацию по диагностике и лечению, записаться на приём, ознакомьтесь с информацией на странице.
Если вы хотите общаться с нами через социальные сети, обратите внимание на аккаунты в ВКонтакте и Telegram.
- «99 процентов работы патологоанатома — это прижизненная диагностика». Заведующая патологоанатомическим отделением НМИЦ онкологии им. Петрова Анна Сергеевна Артемьева — о тайнах профессии
- Саркома Юинга: диагностика и лечение
- «Мечтаю о рождении первых детей»: онкогинеколог и репродуктолог Ольга Евгеньевна Лавринович – о себе и программе отложенного родительства для онкологических пациентов
- «Шока не было. Болезнь я восприняла как испытание»: 20-летняя Даша борется с острым лимфобластным лейкозом и не прекращает учебу
- «Читаем мысли хирурга». Старшая медсестра оперблока Центра Галина Мусий — о себе и профессии