Рак желудка
Рак желудка представляет собой злокачественное поражение эпителия слизистой оболочки органа. По статистике, рак желудка находится в пятерке «лидеров» среди всех онкологических заболеваний по частоте возникновения и занимает второе место по частоте смертельных исходов.
В большинстве случаев столь плачевная статистика связана со сложностями ранней диагностики.
Что такое рак желудка?
Рак желудка — это злокачественная опухоль, формирующаяся из клеток слизистой оболочки органа.
Несмотря на распространенность этого типа новообразований, каждый случай требует индивидуального подхода и разработки стратегии диагностики, лечения, а также тщательного стадирования. По мере развития, новообразование прорастает стенку желудка, может распространяться на соседние органы, метастазировать в отдаленные внутренние органы.
Характерные черты заболевания
Рак желудка имеет ряд специфических черт:
- Чаще всего поражает пациентов старше 55 лет. В последние годы болезнь стала «молодеть», в редких случаях заболеть может даже ребенок.
- Мужчины страдают раком желудка чаще женщин.
- Часто протекает без выраженных симптомов или имеет скудную симптоматику, в связи с чем диагностика на ранних стадиях затруднена.
Причины рака желудка
Среди причин рака желудка называют:
- Преклонный возраст
- Осложненная наследственность
- Неправильное питание, гиподинамия, ожирение
- Наличие хронических заболеваний ЖКТ
- Полипоз желудка
- Курение, злоупотребление алкоголем
Виды рака желудка
В подавляющем большинстве, около 90% всех клинических случаев, речь идет об аденокарциноме.
Помимо аденокарциномы выделяют и другие виды опухоли желудка:
- Плоскоклеточный рак.
- Дифференцированный рак желудка.
- Железисто-плоскоклеточный рак и др.
По формам роста выделяют:
- Грибовидные опухоли. Такая опухоль склонна к позднему метастазированию, имеет экзофитный рост, четко отграничена от окружающих тканей.
- Опухоль изъязвленная. Имеет блюдцеобразную форму, углубление по центру. Также как и в первом случае четко отграничена от окружающих тканей и поздно метастазирует.
- Язвенно-инфильтративная опухоль. Прорастает стенки органа, не имеет четких границ.
- Диффузно-инфильтративная опухоль. Представляет собой смешанную форму. Имеет вид многочисленных изъязвлений, склонна к инфильтративному росту.
Исходя из расположения, могут быть:
- Опухоль дна желудка.
- Передней стенки.
- Задней стенки.
- Кардиальной зоны.
- Малой кривизны.
- Большой кривизны.
- Пилорической части.

Симптомы и первые признаки
Первые признаки рака желудка неспецифичны. Их можно запросто пропустить, списав на гастрит и другие распространенные патологии. Однако именно на них следует обратить пристальное внимание и самостоятельно отправиться к врачу. Что же это за симптомы:
- Чувство слабости.
- Нарушения со стороны психики: апатичность, индифферентное отношение к окружающему миру, депрессивное состояние.
- Чувство распирания в надчревной области.
- Диспепсические явления, среди которых: тошнота, длительно протекающая изжога.
- Резкое снижение веса (немотивированное, вне диеты).
- Болевой синдром различной степени интенсивности.
- Нарушения сна.
- Чувство переполненности желудка, плохой аппетит.
Отличить признаки рака желудка не просто. Точку в вопросе ставят диагностические мероприятия.
На развитых стадиях заболевания наблюдаются следующие симптомы опухоли желудка:
- Резкое снижение массы тела.
- Рвота без облегчения состояния.
- Тошнота.
- Ноющие боли, иррадиирующие в спину, поясницу. Чем более развита опухоль, тем интенсивнее боль.
- Кровотечения из ЖКТ, обусловленные разрушением сосудов. Проявляются рвота с кровью, черный стул и т.д.
- Анемия.
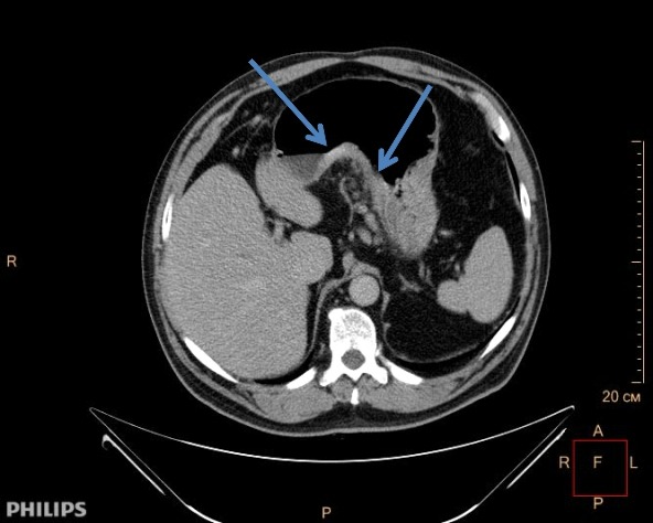
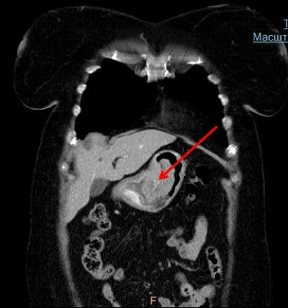
Как выглядит рак желудка?
На представленном фото рака желудка представлен внешний вид опухоли по стадиям развития.

Диагностика
Диагностика необходима, чтобы ответить на следующие вопросы:
- Оценка размеров злокачественной опухоли и ее распространенности.
- Определение локализации процесса.

Диагностика включает в себя два типа исследований: Выявление опухоли и оценку степени распространения опухолевого процесса для выработки оптимальной тактики лечения.
Методы диагностики
- Рентгенография желудка. Заключается в рентгенографическом исследовании органа с применением специального контрастирующего вещества, которое пациент выпивает до проведения процедуры. Это безболезненный и информативный способ обследования.
- ФГДС (фиброгастродуоденоскопия). Минимально инвазивное исследование, в ходе которого в желудок больного вводится специальный гибкий зонд с источником света и миниатюрной камерой. Позволяет визуально оценить состояние пищевода, желудка, начальных отделов тонкого кишечника. Параллельно с выполнением исследования производится забор биоматериала.
- Биопсия. Суть этого исследования состоит в заборе участка ткани для гистологического анализа. Может проводиться как во время ФГДС, так и в процессе проведения операции.
- Компьютерная томография. Дает возможность получить детальнейшие изображения структур желудка. Процедура абсолютно безболезненна и длится не долее 10-15 минут.
- Эндоузи (эндоскопическое ультразвуковое исследование). Процедура по своему характеру схожа с ФГДС, однако аппарат для ее проведения имеет дополнительный датчик, позволяющий более детально оценить глубину прорастания опухоли в слои стеки желудка.
- Лапароскопия. Минимально инвазивная операция, проводимая как в диагностических, так и в лечебных целях. Суть ее состоит во введении в брюшную полость через точечные разрезы специальных инструментов. Проводится под общим наркозом.

Оценка общего состояния здоровья больного
- Общий анализ крови. Проводится с целью оценить количество гемоглобина, форменных элементов крови (лейкоцитов, эритроцитов, тромбоцитов). Для точности исследование следует выполнять натощак.
- Биохимия крови. Проводится для оценки количества АЛТ, АСТ, билирубина, амилазы, билирубина, глюкозы, альбумина и других показателей.
- Общий анализ мочи. Проводится для оценки работы выделительной системы человека.
- ФВД (функция внешнего дыхания). Проводится для оценки состояния легких. Суть исследования состоит в определении жизненного объема легких.
- Электрокардиография. Назначается для оценки функционального состояния сердца.
- ЭхоКГ (эхокардиография). Назначается для оценки анатомии и функционального состояния сердца.
Диагноз «рак желудка» выставляется только после полного обследования, в том числе обязательного гистологического исследования.
Методы лечения
Возможны следующие методы лечения рака желудка:
- Основным методом лечения больных раком желудка является хирургический.
Операция может производиться классическим либо лапароскопическим способами. В ходе хирургического вмешательства может быть удалена часть желудка или весь желудок, части окружающих органов, лимфоузлы и т.д. Все зависит от размера новообразования и его распространенности на другие органы.

Также может применяться в качестве паллиативной меры химиотерапия.
Прогноз рака желудка
Выживаемость зависит от степени распространения опухолевого процесса и общего состояния больного. В целом, можно представить следующие цифры прогноза при раке желудка:
- При I стадии заболевания пятилетняя выживаемость максимальна и достигает 90%.Около трех четвертей пациентов добиваются полного излечения.
- При IV стадии прогноз крайне неблагоприятный: смертность достигает 95%.
Противопоказания при лечении рака желудка
Существует несколько противопоказаний для оперативного вмешательства:
- Тяжелое состояние больного при болезнях сердца, легких, почек, печени.
- Наличие генерализованного опухолевого процесса.
В первом случае при переходе основных заболеваний в фазу компенсации возможно поставить вопрос о возможности хирургического лечения.
Лечение после операции
Часто назначаются:
- Химиотерапия. Это внутривенное введение специальных препаратов, убивающих раковые клетки. Применяется после операции или в качестве самостоятельного метода терапии.
- Лучевая терапия. Применяется при диффузно растущих опухолях как метод дополнительного лечения либо назначается в паллиативных целях.
- Эндоскопические манипуляции. Применяются для улучшения состояния больных, не способных питаться естественным путем и т.д.
Профилактика рака желудка
Профилактика предполагает изменение рациона. В нем должно быть больше растительной пищи. Не стоит злоупотреблять копчеными, жареными и жирными продуктами. Они обладают канцерогенными свойствами. Также нельзя переедать. На алиментарные причины приходится порядка 35% всех случаев возникновения рака.
Необходимо отказаться от злоупотребления алкоголем, курения. Также важно своевременно лечить воспалительные заболевания желудка, такие как гастрит. Хронический воспалительный процесс — это благодатная почва для развития рака желудка.
Рак желудка — тяжелая и крайне опасная патология. Для ее лечения необходимо приложить максимум усилий, но не всегда это бывает оправдано. Куда проще предотвратить страшную болезнь. Чтобы это сделать, достаточно придерживаться указанных рекомендаций, и каждый год проходить профилактические осмотры.
Видео: Боль под ложечкой — что делать? Жить здорово!
Если вы хотите узнать побольше о бесплатных возможностях ФБГУ НМИЦ онкологии им. Н.Н. Петрова Минздрава России, получить очную или заочную консультацию по диагностике и лечению, записаться на приём, ознакомьтесь с информацией на странице.
Если вы хотите общаться с нами через социальные сети, обратите внимание на аккаунты в ВКонтакте и Telegram.
- «99 процентов работы патологоанатома — это прижизненная диагностика». Заведующая патологоанатомическим отделением НМИЦ онкологии им. Петрова Анна Сергеевна Артемьева — о тайнах профессии
- Саркома Юинга: диагностика и лечение
- «Мечтаю о рождении первых детей»: онкогинеколог и репродуктолог Ольга Евгеньевна Лавринович – о себе и программе отложенного родительства для онкологических пациентов
- «Шока не было. Болезнь я восприняла как испытание»: 20-летняя Даша борется с острым лимфобластным лейкозом и не прекращает учебу
- «Читаем мысли хирурга». Старшая медсестра оперблока Центра Галина Мусий — о себе и профессии