Трофобластическая болезнь
Заболевание представляет собой группу редких доброкачественных и злокачественных опухолей, в основе которых лежит аномальный рост и развитие трофобласта.
Что это такое
Трофобластическая болезнь — уникальная группа опухолей женского организма, возникновение которых всегда ассоциировано с беременностью. Они могут возникнуть как во время беременности, так и после её завершения независимо от срока окончания беременности и её исхода. Это может быть благополучно протекавшая беременность, завершившаяся родами, самопроизвольный выкидыш или прерывание на любом сроке беременности. При этом сроки развития заболевания могут составлять от нескольких дней до нескольких лет.
Источником трофобластических опухолей являются трофобласты – клетки, которые окружают эмбрион и участвуют в процессе его прикрепления к стенке матки, а затем – в образовании плаценты во время беременности. При чрезмерном размножении трофобластов возникает опухоль.
Частота развития данной патологии составляет не более 1 % случаев среди всех злокачественных заболеваний женских половых органов. Наиболее склонны к заболеванию женщины, у которых беременность наступила до 21 года или после 35 лет.
Уникальной особенностью этих неоплазий является высокая частота излечения даже при наличии отдаленных метастазов, при этом у большинства пациенток после завершения лечения сохраняется репродуктивная функция.
Классификация
Трофобластическая болезнь – собирательное понятие доброкачественных и злокачественных опухолей. В число первых входит морфологическое изменение, из-за которого возникает:
- частичный пузырный занос. Образуется при оплодотворении яйцеклетки сразу двумя сперматозоидами. Такой эмбрион содержит дополнительный набор хромосом, и, к сожалению, является нежизнеспособным;
- полный пузырный занос. Образуется при оплодотворении яйцеклетки с отсутствием хромосом. При дальнейшем делении клеток отцовские хромосомы удваиваются и становятся заменой материнских, однако эмбрион не образуется.

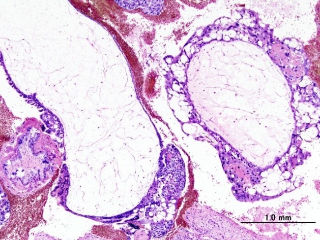
Полный пузырный занос
Полный пузырный занос
Эти доброкачественные опухоли диагностируются у 70 % больных, при этом как при полном, так и неполном пузырном заносе наблюдается только разрастание трофобластической ткани и превращение ворсинок хориона в пузырьки. Однако в 20 % случаев трофобласты приобретают способность к малигнизации и метастазированию. По мере распространения злокачественных клеток в окружающие ткани различают инвазивный пузырный занос, диссеминированный пузырный занос, хорионкарционому, трофобластическую опухоль плацентарного ложа и эпителиоидную трофобластическую опухоль.

Симптомы
Женщину должны насторожить следующие признаки:
- безболезненные выделения из влагалища с примесью крови разной интенсивности и выраженности;
- увеличение размера матки, несоответствующее сроку беременности при полном пузырном заносе;
- уменьшенный размер матки, несоответствующий сроку беременности при частичном пузырном заносе;
- токсикоз на поздних сроках беременности.
При злокачественной трофобластической болезни изменяется характер выделений во время менструаций. Ежемесячные кровотечения или вовсе отсутствуют, или идут дольше обычного срока и обильно. Вместе с этим появляются жалобы на изменение вкусовых пристрастий, тошноту и головокружение – симптомы, позволяющие предположить наступление беременности. Нередко возникает тупая боль в нижней части живота, связанная со сдавливанием опухолью стенок матки.
Течение заболевания зависит от провоцирующего фактора. Так, после нормальной беременности, закончившейся родами или абортом, болезнь развивается стремительно, нарушая восстановление женского организма. Если опухоль образовалась после внематочной беременности или трансформировалась из пузырного заноса, то течение болезни более благоприятное.
Клиническая картина может существенно варьировать в зависимости от локализации метастатических очагов:
- при метастазах в лёгких возникают кровохарканье, постоянный кашель, одышка, боли в грудной клетке;
- при метастазах во влагалище пальпируется уплотнение через переднюю стенку живота;
- при метастазах в печени появляется боль в правом подреберье;
- при метастазах в головном мозге беспокоят постоянные головные боли, тошнота, возможны судороги и потеря сознания.
Диагностика
После гинекологического осмотра, сбора анамнеза и фиксирования жалоб пациентка направляется на обследование:
- прежде всего, определяют уровень β-ХГЧ в сыворотке крови. Этот специфический маркер вырабатывается клетками хориона после имплантации зародыша в стенку матки, т.е. лишь через несколько дней после оплодотворения и достигает максимальной концентрации к 7-11 недели беременности, затем начинает снижаться. Трофобластическая болезнь подтверждается, если маркер не снижается после 12 недели беременности или остается на высоком уровне после ее завершения. На результаты анализа полагаются при контрольном обследовании и определения дальнейшей тактики лечения;
- УЗИ органов малого таза – для первичного подтверждения болезни;
- МРТ органов малого таза – для уточнения расположения опухоли;
- КТ органов грудной клетки, брюшной полости, МРТ головного мозга — для поиска метастазов;
- гистологическое исследование всех удаленных тканей, полученных в ходе предшествующих оперативных вмешательств. При этом повторная биопсия образований не рекомендуется, поскольку сопряжена с высоким риском осложнений.

Стадии
В зависимости от степени распространения процесса различают 4 стадии заболевания:
- 1 стадия – опухоль ограничена полостью матки;
- 2 стадия – опухоль распространяется на придатки, шейку матки и влагалище;
- 3 стадия – появляются метастазы в легких;
- 4 стадия – метастазы в других органах.


** низкий уровень β-ХГЧ может быть при трофобластической опухоли на месте плаценты.
При сумме баллов ≤ 6 – низкий риск развития резистентности опухоли; ≥ 7 баллов – высокий.
Лечение
Лечение доброкачественной опухоли невозможно без прерывания беременности. Выполняется аборт, а далее патологические ткани удаляются вакуумным аспиратором. После процедуры на протяжении месяца контролируется уровень β-ХГЧ. Женщина еженедельно сдает анализ крови, пока не получит отрицательный результат три раза подряд. Далее контрольные анализы проводятся ежемесячно в течение года. Важно после эвакуации пузырного заноса выполнить рентгенографию органов грудной клетки и УЗИ органов малого таза.
Если анализ β-ХГЧ остаётся положительным или обнаруживается злокачественная опухоль, то пациентка нуждается в продолжении лечения. Больную следует направить в специализированный центр, имеющий опыт работы и знающий данную патологию, что крайне важно для определения прогноза и эффективности терапии.
Ведущий метод лечения – химиотерапия, которая должна быть начата в кратчайшие сроки. Основные показания для ее проведения:
- стабильный или растущий уровень β-ХГЧ после сдачи трех анализов крови с интервалом в семь дней;
- повышенный уровень β-ХГЧ через полгода после процедуры;
- выявление хориокарциномы, опухоли плацентарного ложа или эпителиоидной трофобластической опухоли;
- обнаружение метастазов.
Врач выбирает рекомендованную схему терапии, основываясь на особенности анамнеза и характеристики опухолевого процесса, т.е. в зависимости от группы риска резистентности опухоли к химиотерапии. Группа риска определяется по шкале FIGO (2000 г.) с учётом результатов обследования: менее 6 баллов соответствует низкому риску, 7 и более баллов – высокому риску.
Если риски рецидива заболевания минимальны, то назначается монотерапия препаратом метотрексат. При высоких рисках рецидива опухоли используется комбинация препаратов, включающих этопозид, дактиномицин, метотрексат, винкристин и циклофосафамид.
Количество циклов химиотерапии определяется индивидуально и зависит от степени снижения уровня β-ХГЧ после каждого цикла. При нормализации уровня специфического маркера дополнительно проводится 2-4 цикла химиотерапии в том же режиме для консолидации полученного эффекта.
Если опухоль приобретает резистентность и нет нормализации уровня маркера, то требуется переход к противоопухолевым препаратам второй линии, например, такие комбинации как дактиномицин, этопозид + дактиномицин + метотрексат + цисплатин или цисплатин + паклитаксел + этопозид.
В некоторых случаях прибегают к хирургическому лечению с последующим проведением адъювантной химиотерапии. Основные показания к оперативному вмешательству являются:
- перфорация опухолью стенки матки;
- кровотечение, не поддающееся консервативной терапии и угрожающее жизни пациентки;
- резистентность опухоли к стандартной химиотерапии при отсутствии отдаленных метастазов;
- резистентность одиночных метастазов при отсутствии первичной опухоли.
Лучевая терапия используется только при метастазах в головном мозге.
Прогноз
Правильное и своевременное выявление заболевания, а также адекватное лечение в настоящее время позволяют достичь 100 % ремиссии на протяжении пяти лет при простом пузырном заносе и более 90 % – при хорионкарциноме без наличия метастазов.
Повторное развитие опухоли возможно в течение первых 36 месяцев до 10 % случаев. Частота излечение рецидива составляет около 75 %.
Фертильность
После завершения лечения у большинства женщин сохраняется репродуктивная функция. Планировать повторную беременность для пациенток с I-II стадией разрешается через год после последнего цикла химиотерапии, а для больных с III-IV стадией – через полтора-два года. Такие сроки установлены с целью правильной интерпретации наступления беременности или рецидива заболевания, а также для профилактики развития аномалий плода.
Профилактика
После удаления пузырного заноса необходимо следить за уровнем β-ХГЧ, а также выполнить рентгенографию органов грудной клетки и УЗИ органов малого таза. После завершения лечения уровень β-ХГЧ определяется каждые две недели на протяжении первых трех месяцев, затем ежемесячно в течение года. В дальнейшем контрольный анализ крови проводится раз в два месяца, а еще через год – один раз в четыре месяца.
Обязательна контрацепция в течение первого года после нормализации уровня β-ХГЧ. Специалисты рекомендуют в качестве метода контрацепции выбирать комбинированные оральные контрацептивы.
Если вы хотите узнать побольше о бесплатных возможностях ФБГУ НМИЦ онкологии им. Н.Н. Петрова Минздрава России, получить очную или заочную консультацию по диагностике и лечению, записаться на приём, ознакомьтесь с информацией на странице.
Если вы хотите общаться с нами через социальные сети, обратите внимание на аккаунты в ВКонтакте и Telegram.
- Плоскодетекторная компьютерная томография в интервенционной радиологии: фундаментальные принципы, современные технологии и перспективы дальнейшего развития
- Может ли экстракорпоральное оплодотворение спровоцировать рак?
- Внутрибольничная пневмония: диагностика, лечение и профилактика
- Рак и наследственность
- Профессор Светлана Кулева: «До сих просыпаюсь от страха, что иду на экзамен по взрослой хирургии»