Уважаемые посетители НМИЦ онкологии им. Н.Н. Петрова! Обратите внимание, что в пос. Песочный на Ленинградской улице располагаются три разных онкоцентра. При планировании визита запомните наш адрес: СПб, пос. Песочный, ул. Ленинградская, 68.
Размер:
AAA
Цвет: CCC
Изображения вкл.выкл.
Обычная версия сайта

Герминогенные опухоли

Герминогенные опухоли, что это такое?

Герминогенные опухоли - это редкие злокачественные новообразования, которые возникают из первичных половых клеток человека, или «зародышевых» клеток (germ cells). Эти клетки находятся в половых железах – гонадах, из них развиваются яички у мужчин и яичники у женщин.

Большая часть герминогенных опухолей возникает внутри гонад. Внегонадные опухоли встречаются значительно реже, это опухоли забрюшинного пространства, переднего средостения и центральной нервной системы. Развитие герминогенных опухолей связано с аномалиями миграции зародышевых клеток в процессе развития эмбриона. Герминогенные опухоли встречаются в основном у молодых людей, а также у детей (более подробно об этом в статье "Герминогенные опухоли у детей"). Большая часть этих опухолей диагностируется в пределах относительно узкого возрастного интервала: 25 - 35 лет. Герминогенные опухоли относятся к достаточно редким заболеваниям и составляют около 1% от всех злокачественных опухолей у мужчин. Более 90% герминогенных опухолей у мужчин представлены новообразованиями яичка, т.е. могут быть отнесены к опухолям наружной локализации, доступным осмотру и пальпации. На момент постановки диагноза большинство пациентов имеют распространенный процесс (IIC – III ст.): до 60% больных.

Классификация Всемирной Организации Здравоохранения (ВОЗ) подразделяет герминогенные опухоли на 3 категории:
  1. новообразования новорождённых и раннего детского возраста. К ним относят тератомы и опухоли желточного мешка. Они могут располагаться в яичках, яичниках, забрюшинном пространстве, средостении, головном мозге.
  2. новообразования яичка, которые возникают между 15 и 40 годами, и подразделяются на семиномы и несеминомы.
  3. сперматоцитные семиномы (пациенты старше 50 лет). В отличие от опухолей 1 и 2 типов, источником новообразования являются не эмбриональные зародышевые клетки, а более зрелые – сперматогонии и сперматоциты.

Вероятность возникновения герминогенных опухолей  яичек увеличивается при крипторхизме (неопущении яичка в мошонку), травмах,   инфекционных заболеваниях. В группе риска находятся пациенты с различными генетическими заболеваниями.

Виды герминогенных опухолей

В зависимости от морфологической картины, клинического течения герминогенные опухоли делятся на семиномные и несеминомные опухоли. Семиномные опухоли составляют около 40%, несеминомные  – 60%. Тактика лечения и прогноз различны в двух этих группах. Семиномы характеризуются довольно вялым течением, долгое время человек не ощущает никаких симптомов болезни. Эти опухоли хорошо поддаются лечению: они чувствительны к лучевой терапии и особенно к химиотерапии. При запущенном процессе наблюдается, как правило, лимфогенное метастазирование в забрюшинные лимфоузлы, реже в средостенные и надключичные лимфоузлы. К данным опухолям относят следующие морфологические подтипы:

  • внутрипротоковая герминогенная неоплазия неклассифицированного типа (carcinoma in situ); семинома с клетками синцитиотрофобласта;
  • сперматоцитарная семинома;
  • сперматоцитарная семинома с саркомой;
  • эмбриональный рак;
  • опухоль желточного мешка;
  • трофобластические опухоли:
    • хориокарцинома;
    • монофазная хориокарцинома;
    • трофобластическая опухоль места крепления плаценты;
  • тератома:
    • дермоидная киста;
    • монодермальная тератома;
    • тератома с соматической малигнизацией;
  • смешанные опухоли.

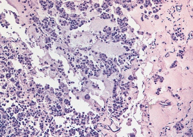
01.jpg

Микропрепарат, семинома

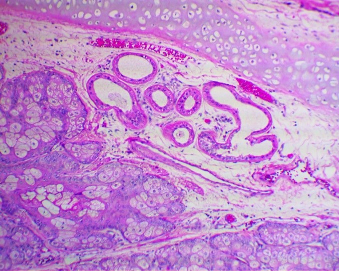
02.jpg

Микропрепарат, тератома яичника

Симптомы и первые признаки герминогенных опухолей

Опухоли яичка в ранних стадиях не сопровождаются болями или другими неприятными симптомами, в связи с чем долгое время не возникает стимулов для обращения к врачу. Чаще всего пациенты приходят с жалобами на увеличение яичка, боль в мошонке, увеличение лимфоузлов. При распространенности процесса появляются симптомы интоксикации, например, слабость, снижение веса, отсутствие аппетита.

03-1024x768.jpg

Когда опухоль располагается в средостении, особенности при ее больших  размерах, пациента будут беспокоить жалобы на кашель, одышку, боли в груди, невозможность выполнять без усилия привычную физическую активность, возможна отечность шеи, синюшность кожных покровов. Могут возникать шум в голове/ушах, ухудшение зрения, головная боль, сонливость. Это объясняется тем, что растущая опухоль давит на верхнюю полую вену. Опухоли забрюшинного пространства обычно также не дают о себе знать длительное время.  На них могут указывать такие симптомы, как нарушение стула и мочеиспускания, боли в животе, варикозное расширение вен, а также отеки. Герминогенные опухоли центральной нервной системы (головного мозга) имеют следующие клинические проявления: головная боль, расстройство движений глазных яблок, тошнота, рвота и развитие судорог.

Диагностика герминогенных опухолей

Стандартом диагностики герминогенных опухолей является  физикальный осмотр пациента,  сбор анамнеза и анализ крови на биологические опухолевые маркеры. К ним относятся АФП (альфа-фетопротеин), β -ХГЧ (β единица хорионического гонадотропина человека) и ЛДГ (лактатдегидрогеназа). В качестве уточняющих исследований проводится КТ органов брюшной полости и грудной клетки, либо УЗИ органов брюшной полости и рентгенография грудной клетки в двух проекциях. Также выполняют МРТ головного мозга, чтобы выявить наличие метастазов в нем. Орхофуникулэктомия - удаление яичка, выполняется с диагностической и лечебной целью.

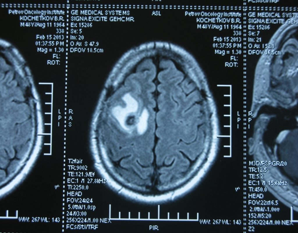
04-1024x799.jpgМетастаз в головной мозг при герминогенных опухолях (МРТ головного мозга)

05.jpgТератома яичника (УЗИ малого таза)

06.jpgГерминогенная опухоль яичка (макропрепарат)

Стадии герминогенных опухолей

Для выработки индивидуального плана лечения учитываются классификации TNM, а также классификация метастатических герминогенных опухолей Международной объединенной группы по герминогенным опухолям (IGCCCG). Стадирование  герминогенных опухолей в соответствии с классификацией ТNМ

07-1024x673.jpg

Для герминогенных опухолей IV стадия заболевания не предусмотрена.

08.jpg

Классификация  IGCCCG включает в себя ряд таких прогностических факторов как гистологическая форма, локализация первичной опухоли и расположение метастазов. Учитываются уровни опухолевых маркеров: АФП (альфа-фетопротеина), ХГ (хорионического гонадотропина) и ЛДГ (лактатдегидрогеназы). На их основе определяется прогноз пациента – «хороший», «промежуточный» или «неблагоприятный»

Методы лечения герминогенных опухолей

К настоящему времени в онкологической практике накоплен большой научно-практический материал, разработаны стандарты и международные рекомендации по лечебной тактике больных герминогенными опухолями. При герминогенных опухолях проводится, как правило, комплексное лечение, которое включает в себя хирургическое лечение, системное противоопухолевое лечение, реже  лучевую терапию. Метод лечения основывается на морфологическом типе опухоли, группе прогноза и стадии заболевания. Большинство больных герминогеными опухолями добиваются излечения даже при распространенной форме заболевания, когда процесс не ограничен только первичной опухолью. Наиболее эффективная схема лечения – это химиотерапия с последующим удалением остаточных опухолевых очагов. Хирургические методы:

  • орхфуникулэктомия
  • забрюшинная лимфаденэктомия,
  • удаление легочных метастазов и пр.

Лучевая терапия назначается чаще при поражении головного мозга.  Ее применение обусловлено возможностью точного локального воздействия на опухолевые массы. Химиотерапия

Показания к химиотерапии определяются степенью распространенности процесса, наличием легочных/внелегочных метастазов. Стандартным режимом химиотерапии при герминогенных опухолях является режим «BEP», включающий блеомицин, этопозид и цисплатин. Для пациентов с дыхательной недостаточностью, обширным поражением легких, во избежание легочной блеомициновой токсичности, как альтернативный вариант, может быть использованы режимы химиотерапии VIP (этопозид, ифосфамид, цисплатин) или ЕР (этопозид, цисплатин). Следует отметить, что при проведении системного лекарственного лечения необходимо строгое соблюдение временных рамок (начало очередного цикла проводится на 22 день). Для оценки эффективности химиотерапии каждые 2 цикла и после ее окончания проводится компьютерная томография исходных зон поражения, перед каждым циклом мониторинг уровня опухолевых маркеров. Рост маркеров на фоне лечения или после его завершения, а также замедление их снижения свидетельствует об активности опухолевого процесса и необходимости проведения второй линии химиотерапии. Перед проведением химиотерапии рекомендуется обдумать и решить вопрос о необходимости криоконсервации спермы.

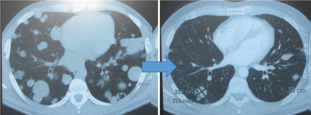
Screenshot_2-1024x379.pngМетастазы в легких до лечения и после 4х циклов химиотерапии по схеме «ВЕР» (КТ грудной клетки)

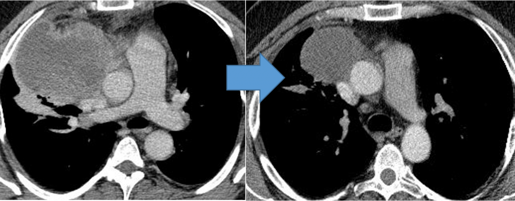
Screenshot_3-1024x401.pngГерминогенная опухоль средостения до лечения и после 4х циклов химиотерапии по схеме «ВЕР » - уменьшение опухоли более чем на 50% (КТ грудной клетки)

11.jpgЗабрюшинная тератома (3D реконструкция)

Контроль эффективности лечения и динамическое наблюдение.

Перед началом каждого цикла химиотерапии проводится контроль онкомаркеров (АФП, ЛДГ, ХГЧ). Обязательный принцип динамического наблюдения за больными герминогенными опухолями - строгое соблюдение временных промежутков при выполнении контрольного обследования. Первый год после лечения необходимо проходить обследование каждые два месяца, а на второй год – раз в три месяца. Следующие два года нужно обследоваться сначала каждые четыре месяца, затем каждые шесть месяцев. И далее планируется ежегодный поход к врачу. Перечень обследований рекомендованных к выполнению в период динамического наблюдения: физикальный осмотр, кровь на маркеры (АФП, ЛДГ, ХГЧ), УЗИ пахово-подвздошных областей, брюшной полости и забрюшинного пространства, рентгенография органов грудной клетки каждые 6 месяцев.

Прогноз выживаемости

Благодаря успехам в развитии химиотерапии, герминогенные опухоли стали ярким примером курабельных солидных опухолей. Пятилетняя выживаемость больных герминогенными опухолями составляет от 60 до 90%. Классификация метастатических герминогенных опухолей Международной объединенной группы по герминогенным опухолям (IGCCCG), основанная на прогностических факторах

12-1024x960.jpg

*ВГН – верхняя граница нормы.

Автор: Семенова Анна Игоревна
старший научный сотрудник, врач-онколог

Что вам необходимо сделать

Если вы хотите узнать побольше о бесплатных возможностях ФБГУ НМИЦ онкологии им. Н.Н. Петрова Минздрава России, получить очную или заочную консультацию по диагностике и лечению, записаться на приём, ознакомьтесь с информацией на странице.

Если вы хотите общаться с нами через социальные сети, обратите внимание на аккаунты в ВКонтакте и Telegram.

Публикации раздела: