Уважаемые посетители НМИЦ онкологии им. Н.Н. Петрова! Обратите внимание, что в пос. Песочный на Ленинградской улице располагаются три разных онкоцентра. При планировании визита запомните наш адрес: СПб, пос. Песочный, ул. Ленинградская, 68.
Размер:
AAA
Цвет: CCC
Изображения вкл.выкл.
Обычная версия сайта

Герминогенные опухоли у детей

К таким опухолям относятся злокачественные и доброкачественные образования, формирующиеся из первичных половых клеток. В период формирования и развития человеческого эмбриона эти клетки перемещаются, поэтому герминогенные образования могут формироваться и вне гонад (органов, выделяющих половые клетки): в головном мозге, забрюшинной, крестцово-копчиковой зоне, средостении и других областях.

Распространенность

На частоту встречаемости таких новообразований влияет возраст пациента:

  • до 15 лет – 2-4%;
  • в подростковом возрасте (15-19 лет) – около 14%.

Для детского возраста существует два периода, когда заболеваемость находится на пике:

  • Первый – до 2-х лет, девочки болеют чаще мальчиков (74%). В этот период в большинстве случаев новообразования локализуются в крестцово-копчиковой зоне.
  • Второй немного различается для девочек и мальчиков. Этот пик приходится на подростковый возраст: 11-14 лет для мальчиков и 8-12 для девочек. В основном опухоли обнаруживаются в гонадах.

В последние годы большинство исследователей говорят о росте числа случаев обнаружения герминогенных образований. Особенно ярко эта тенденция прослеживается у мужской части населения, с локализацией опухолей в яичках. У мужчин за последние годы заболеваемость возросла с 2 до 4,4 на 100 000 человек.

Частая причина возникновения герминогенных опухолей злокачественного характера – различные генетические аномалии, например, синдром Klinefelter либо атаксия-телеангиоэктазия, чистая и смешанная дисгенезия гонад, крипторхизм, гермафродитизм и т. д.

Гистологическая классификация

  1. Герминома (если локализуется в яичке – семинома, в яичнике – дисгерминома, в других анатомических зонах – герминома).
  2. Тератома:
    • зрелая;
    • незрелая – различается по степеням незрелости:
      • первой степени;
      • второй;
      • третьей.
  3. Эмбриональная карцинома.
  4. Новообразование желточного мешка.
  5. Хориокарцинома.
  6. Гонадобластома.
  7. Герминогенные новообразования смешанного типа.

Клиническая картина

Клиническая картина данного заболевания характеризуется многообразием. И в первую очередь она определяется тем, где расположена опухоль. Наиболее частые локализации:

  • 27% – в области копчика;
  • 26% – в яичниках;
  • 18% – в яичках;
  • 15% – в головном мозге.

В гораздо более редких случаях такие опухоли диагностируются в средостении, забрюшинном пространстве, желудке, на шее (то есть в носоглотке), в мочевом пузыре, печени, во влагалище.

Risunok-1.pngРисунок 1. Варианты расположения герминогенных образований у детей.

Яичко

Первичные образования в яичках (они называются тестикулярные) в детском возрасте диагностируются редко. Чаще всего их обнаруживают у детей в возрасте до 2-х лет, при этом 25% – уже при рождении.

а)

Risunok2a.png

б)

Risunok2b.pngРисунок 2. – семинома яичка: а - макропрепарат, б - МРТ.

По гистологической (то есть тканевой) структуре это наиболее часто новообразования желточного мешка либо доброкачественные тератомы.

Второй пик возникновения опухолей яичка – пубертат. В этот период растет частота заболеваемости злокачественными тератомами. Семиномы встречаются у детей крайне редко.

Припухлость яичка, которая быстро увеличивается и не причиняет ребенку боли, чаще всего обнаруживается родителями. 10% таких новообразований сочетается с «водянкой яичка» (мед. «гидроцеле») и другими врожденными патологиями, особенно мочевыводящей системы.

При осмотре видно плотное новообразование, бугристое, без признаков воспаления. Диагноз опухоли до операции подтверждает повышенный уровень альфа-фетопротеина (АФП).

Новообразование при этом содержит элементы желточного мешка.

Симптоматика метастазов в парааортальных лимфоузлах – боль в пояснице.

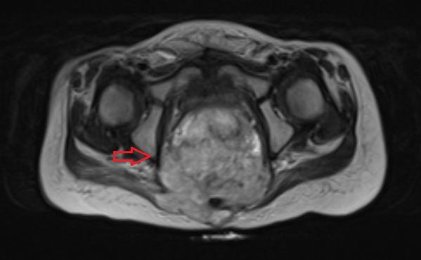
Яичники

Овариальные (расположенные в яичниках, яичниковые) опухоли наиболее часто проявляются болью в животе. При осмотре пальпируется опухоль в малом тазу, часто – в брюшной полости. Также за счет асцита (скопления в брюшной полости жидкости) увеличен живот. Нередко у девочек с таким диагнозом бывает лихорадка.

Самая часто диагностируемая герминогенная опухоль – это дисгерминома. Преимущественно ее обнаруживают во второй декаде жизни. У маленьких девочек встречается редко. Такое заболевания сравнительно быстро распространяется, поражая брюшину и второй яичник. Обычно новообразования односторонние, имеют большие размеры. В связи с этим частое явление – разрыв капсулы новообразования.

а)

Risunok3a.png

б)

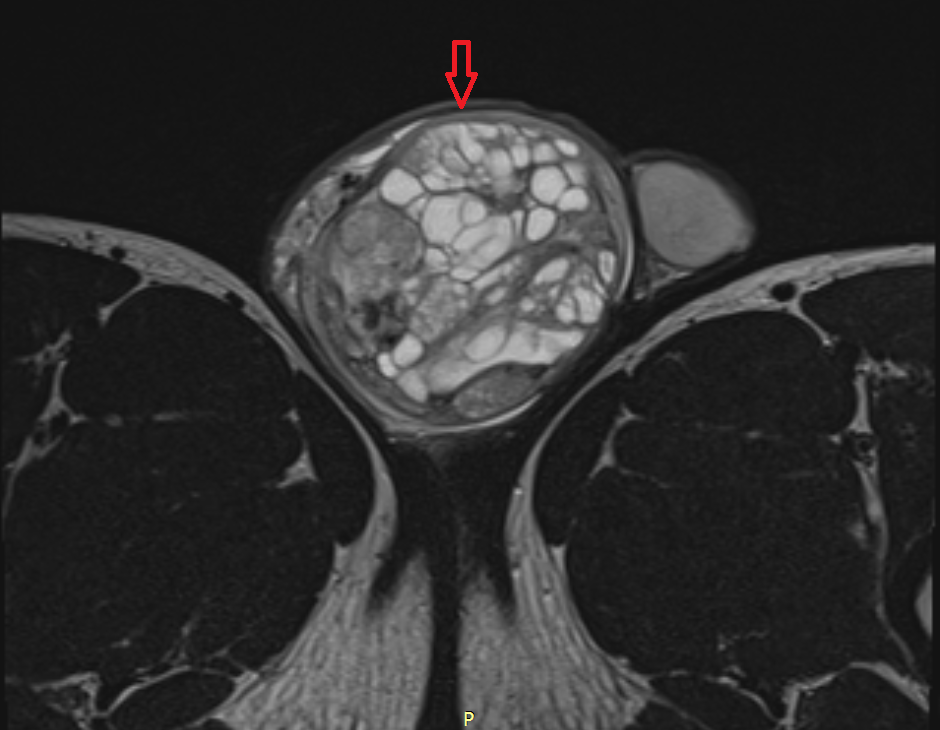
Risunok3b.pngРисунок 3. – тератома яичника а –УЗИ, б - МРТ.

Злокачественные тератомы обычно проявляются неспецифической клинической картиной, которая связана с наличием опухоли:

  • увеличенный объем живота;
  • боль;
  • нарушение менструального цикла (наблюдается не всегда).

Крестцово-копчиковая зона

По частоте выявления это третья зона расположения герминогенных опухолей. В 75% случаев диагностируется до 2-х месяцев, почти всегда это доброкачественная, зрелая тератома. Новообразования у таких больных выявляются в промежности или области ягодиц. Наиболее часто опухоли характеризуются большими размерами. Иногда новообразования выявляются в старшем возрасте и распространены внутри брюшины. В таких случаях по результатам гистологии выявляется злокачественная природа, часто с элементами новообразования желточного мешка.

Опухоли в крестцово-копчиковой зоне часто приводят к трудностям с актом дефекации и мочеиспускания (дизурические расстройства).

Risunok4.jpgРисунок 4. Крестцово-копчиковая тератома у ребенка.

Risunok5.pngРисунок 5. Крестцово-копчиковая тератома у ребенка 2-х лет (МРТ).

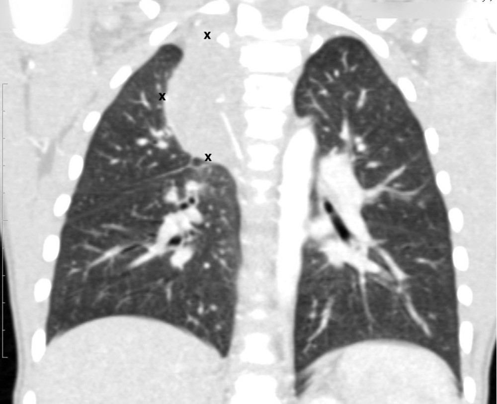
Средостение

В средостении в большинстве случаев присутствуют крупные опухоли, но при этом синдром сдавления верхней полой вены диагностируется редко.

Risunok6.jpgРисунок 6. - КТ органов грудной клетки – семинома средостения.

Гистологическая картина новообразования в основном смешанного происхождения, имеет тератоидный компонент и клетки, которые характерны для новообразования желточного мешка.

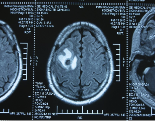
Головной мозг

Герминогенные новообразования в данной области – это примерно 2-4% от всех внутричерепных (интракраниальных). Патология в 75% случаев диагностируется у мальчиков, за исключением турецкого седла, где новообразования в основном локализуются у девочек.

Герминомы формируют инфильтрирующие опухоли больших размеров, часто являющиеся источниками субарахноидальных (между мягкой и паутинной оболочками мозга) и вентрикулярных (желудочковых) метастаз.

Risunok7.pngРисунок 7. – Герминома головного мозга.

Влагалище

Почти всегда это новообразования желточного мешка. Все описанные в медицине случаи обнаруживались в возрасте до 2-х лет. Такие опухоли обычно имеют симптомы в виде кровянистых выделений и кровотечений из влагалища.

Опухоль имеет вид полиповидных масс, исходит из задней и боковых стенок влагалища.

Герминогенные новообразования выделяют АФП, а также хорионический гонадотропин (ХГ). Способность секретировать эти вещества выражается по-разному, в зависимости от морфологии опухоли.

В норме АФП выделяется клетками желточного мешка и печени эмбриона и является его важным сывороточным белком. Когда плод переходит на более поздние этапы развития выработка АФП переключается на выработку альбумина. Поэтому у новорожденных АФП определяется в сыворотке крови в очень высоких концентрациях, постепенно снижающихся и к 1-му году достигающих нормальных для взрослого человека значений. АФП имеет период полураспада – 4-5 суток.

ХГ в норме вырабатывается синцитиотрофобластами плаценты. Герминогенные новообразования продуцируют его трофобластическими структурами, а также гигантскими клетками синцитиотрофобласта. Интактный сывороточный ХГ имеет полупериод жизни – 24-36 часов.

Высокоспецифичный метод определения ХГ и АФП у детей значительно повышает качество диагностики, так как его эффективность приближается к 100%. Маркеры опухоли определяют на этапе дифференциальной диагностики, после хирургического вмешательства и перед каждым курсом химиотерапии. Полноценное обследование невозможно без определения маркеров в динамике.

Еще одним маркером любых герминогенных опухолей является лактатдегидрогиназа (ЛДГ). Однако активность этого показателя менее специфична, чем уровни ХГ и АФП. Активность ЛДГ на поздних стадиях развития несеминомных новообразований повышена у 50-60% пациентов, на поздних стадиях развития семиномы – у 80%.

Диагностика

Процесс диагностики включает несколько этапов:

  • Сбор и оценка анамнеза, а также других имеющихся у пациента болезней и патологий.
  • Общий осмотр.
  • Генетическая диагностика.
  • Рентгенография органов грудной клетки (данное обследование обязательно, потому что оно дает возможность подтвердить диагноз при первичных новообразованиях средостения и наличии метастазов в легких).
  • УЗИ. «Ультразвук» нужен для того, чтобы выявить первичный очаг как гонадной (в половых органах), так и внегонадной герминогенной опухоли. Его также проводят в ходе терапии, чтобы оценить ее эффективность.
  • КТ (расшифровка: компьютерная томография), МРТ (расшифровка: магнитно-резонансная томография), ПЭТ-КТ (расшифровка: позитронно-эмиссионная томография, совмещенная с КТ). Эти обследования необходимы, чтобы рассмотреть структуры организма послойно и визуализировать опухоль. Они показывают, как сильно распространен патологический опухолевый процесс на находящиеся рядом ткани и органы, есть ли поражение костей. КТ – это самый чувствительный метод для обнаружения метастазов в легких. Проведение МРТ и КТ головного мозга необходимо, чтобы обнаружить и визуализировать герминогенные новообразования эпифиза.
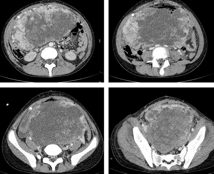
  • Risunok8.jpgРисунок 8. КТ органов брюшной полости – на снимках вы можете увидеть опухоль яичника.

    Risunok9.pngРисунок 9. – метастаз в головной мозг при герминогенной опухоли.

  • Анализы мочи и крови, необходимые для оценки функционального состояния органов (в частности почек, печени), а также свертывающей системы крови (мед. – гемостаз).
  • Определение в крови наличия маркеров герминогенного новообразования – АФП и ХГ. В ряде случаев нужно также проверить ЛДГ. Уровень содержания в крови этих веществ также дает возможность оценить, эффективна ли терапия, которая проводилась пациенту. В связи с этим уровень ХГ и АФП определяют и до хирургического вмешательства и химиотерапии, и после них. Если уровень опухолевых маркеров снижается недостаточно быстро, это может говорить о невосприимчивости опухоли к лечению.
  • Сцинтиграфия (радиоизотопное сканирование костных структур всего скелета).
  • Биопсия. Представляет собой забор биоматериала для дальнейшей диагностики в лаборатории. В итоге получают морфологическое подтверждение того, что присутствует опухоль именно из герминогенных клеток, – это решающее слово в постановке диагноза.

Лечение

Детям проводится операция по удалению опухоли и химиотерапия. Очередность действий зависит от расположения и распространенности процесса. Обычно если поражены гонады, то нужно в первую очередь удалять опухоль, а химиотерапию проводить после операции. Если КТ/МРТ показали четкую инфильтрацию (прорастание) в окружающие ткани либо наличие метастазов в лимфоузлах, легких, печени и других органах, то сначала проводят первичную химиотерапию после определения опухолевых маркеров и инструментальной визуализации.

Показания к химиотерапии и количество курсов определяются тем, насколько распространен процесс, каков уровень онкомаркеров в крови, а также характером проведенной операции.

Стандартные препараты химиотерапии – это этопозид, блеомицин, цисплатин. При наличии обширного поражения легких, дыхательной недостаточности любой степени для того, чтобы не допустить блеомициновой токсичности в легких, в качестве альтернативы могут быть проведены другие схемы лечения.

Необходимо отдельно сказать о том, что при проведении пациенту системной лекарственной терапии нужно строго соблюдать временные рамки – очередной цикл проводится на 22-й день.

При проведении химиотерапии необходимо регулярно оценивать ее эффективность. Для этого каждые 2 цикла и после ее завершения проводится КТ тех областей, которые изначально были поражены опухолями. Также перед каждым циклом проверяется уровень онкомаркеров в крови. Если на фоне терапии или после ее окончания уровень онкомаркеров растет либо замедляется его снижение, то это говорит о том, что опухолевый процесс активен и нужно проводить вторую линию химиотерапии.

Лучевая терапия показана чаще при локализации процесса в головном мозге. Она позволяет точно, локально воздействовать на опухоли.

Прогноз

Процент общей выживаемости при герминогенных новообразованиях:

  • I стадия – 95%
  • II стадия – 80%
  • III стадия – 70%
  • IV стадия – 55%.

Прогностическими факторами являются:

  • уровень онкомаркеров;
  • гистологическое строение опухоли;
  • распространенность процесса.

Неблагоприятные факторы – это большие размеры новообразования, поздняя диагностика, разрыв опухоли, устойчивость к химиотерапии (невосприимчивость лекарственного лечения), рецидив заболевания.

Автор: Фасеева Наталья Дмитриевна
детский онколог

Что вам необходимо сделать

Если вы хотите узнать побольше о бесплатных возможностях ФБГУ НМИЦ онкологии им. Н.Н. Петрова Минздрава России, получить очную или заочную консультацию по диагностике и лечению, записаться на приём, ознакомьтесь с информацией на странице.

Если вы хотите общаться с нами через социальные сети, обратите внимание на аккаунты в ВКонтакте и Telegram.

Публикации раздела: