Уважаемые посетители НМИЦ онкологии им. Н.Н. Петрова! Обратите внимание, что в пос. Песочный на Ленинградской улице располагаются три разных онкоцентра. При планировании визита запомните наш адрес: СПб, пос. Песочный, ул. Ленинградская, 68.
Размер:
AAA
Цвет: CCC
Изображения вкл.выкл.
Обычная версия сайта

Меланомы слизистых оболочек головы и шеи

Меланома слизистых оболочек (МСО) – довольно редкое заболевание, существенно отличающееся от меланомы, развивающейся на других покровах и частях тела. Для медицины такая болезнь представляет большой интерес в связи с агрессивным ростом новообразований и менее благоприятным прогнозом для пациентов.

Механизм развития заболевания связан с тем, что, хотя большинство меланоцитов и находится в коже, однако некоторое их количество присутствует в слизистых покровах ЖКТ, дыхательных путей, урогенительного тракта, глаз.

Справка

Меланоциты – это кожные клетки, которые вырабатывают меланин. Они определяют возможность загара и цвет кожи (так называемую меланиновую пигментацию). Происходят из нервного гребня.

Причины появления МСО

Этиология заболевания до сих пор не установлена. Однако в медицине принято выделять следующие предрасполагающие факторы:

  • генетическая предрасположенность;
  • хроническое травмирование полости рта;
  • принадлежность к определенной этнической группе.
Risunok6.jpg Risunok5.jpg
Risunok2.jpg Risunok4.jpg
Risunok7-1.jpeg

Виды и классификация

В соответствии с международной классификацией стадий рака (TNM) от 2017 года, выделяют несколько видов меланомы слизистых оболочек.

По распространенности опухоли:

Т3 Новообразования, ограниченные слизистой оболочкой и лежащие непосредственно под мягкими тканями, вне зависимости от наибольшего размера или толщины
Т4а Новообразования распространяются на костные структуры, глубоко лежащие мягкие ткани, кожу, хрящи
Т4b Опухоли распространяются на твердую МО, скуловую кость, нервы черепа, сонную артерию
По наличию регионарных метастазов опухоли разделяются на три вида:
Nx Оценить наличие регионарных метастазов нельзя
N0 Регионарных метастазов нет
N1 Регионарные метастазы присутствуют
По наличию отдаленных метастазов меланома слизистых оболочек может быть трех видов:
сМ0 Отдаленных метастазов не обнаружено
сМ1 Отдаленные метастазы присутствуют
рМ1 Присутствуют гистологически подтвержденные отдаленные метастазы

Симптомы

Болезнь наиболее опасна тем, что примерно в трети случаев ее признаки отсутствуют, то есть меланома протекает бессимптомно. Другие две трети пациентов отмечают следующие первые признаки заболевания:

  • изъязвление слизистой оболочки;
  • кровотечения в зоне поражения опухолью;
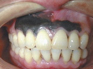
  • узловатое или мокулярное новообразование, которое может иметь различные оттенки – красноватый, коричневый, фиолетовый, черный, серый, белый;
  • впервые отмечаемая болезненность, вызванная ношением ортопедических приспособлений полости рта.

Методы диагностики

Чтобы не пропустить данное заболевание и выявить его на как можно более ранней стадии, нужно регулярно посещать отоларинголога и стоматолога для планово-профилактических осмотров слизистых оболочек полости рта и ЛОР-органов.

Также для выявления патологии применяются следующие лабораторные и аппаратные методики:

  • МРТ, КТ, УЗИ (проводится исследование вторичного поражения областей, в которых расположены регионарные и отдаленные метастазы);
  • биопсия, после которой полученный биоматериал направляется в лабораторию для цитологического и гистологического исследования;
  • определение наличия мутаций в генах BRAF и C-KIT.
Risunok3.jpg

Лечение

При терапии такого заболевания применяется мультидисциплинарный, то есть комплексный подход. Применяются следующие методики лечения в различных сочетаниях:

  • хирургическое вмешательство, при котором удаляется первичный очаг, а далее решается вопрос о необходимости шейной лимфодиссекции (удалении лимфоузлов на шее);
  • адъювантная лучевая терапия;
  • адъювантная химиотерапия;
  • иммунотерапия (если подтверждено наличие мутации в генах BRAF и C-KIT).
Risunok1.jpg

Стадии заболевания

Предлагаем ознакомиться со стадиями заболевания. Таблица стадирования основана на международной классификации стадий рака (TNM). Каждой стадии присваиваются определенные виды меланомы, которые мы представляли выше в таблицах.

Стадия Т N M
III Т3 N0 M0
IVa T4a T3-T4a N0 N1 M0
IVb T4b Любое N M0
IVc Любое T Любое N M1

Прогноз

Процент выживаемости пациентов, которые получили комбинированное лечение, составляет 4,5-49,2%.

Факторы, существенно влияющие на прогноз выживаемости:

  • есть ли регионарные метастазы;
  • есть ли отдаленные метастазы;
  • какая стадия – IVa, IVb, IVc;
  • инвазия (прорастание) новообразования в подлежащие ткани;
  • нерадикальное (неполное) хирургическое удаление первичного очага заболевания;
  • локализация новообразования (так, у пациентов с МСО полости рта регионарные метастазы появлялись в 36,4% случаев, у больных с МСО полости носа и придаточных пазух – в 7,8% случаев).

Автор: Гафтон Мария Альбертовна
онколог, специалист по опухолям костей, мягких тканей, кожи

Автор: Раджабова Замира Ахмедовна
заведующий отделением опухолей головы и шеи, научный сотрудник, врач-онколог, врач-челюстно-лицевой хирург

Что вам необходимо сделать

Если вы хотите узнать побольше о бесплатных возможностях ФБГУ НМИЦ онкологии им. Н.Н. Петрова Минздрава России, получить очную или заочную консультацию по диагностике и лечению, записаться на приём, ознакомьтесь с информацией на странице.

Если вы хотите общаться с нами через социальные сети, обратите внимание на аккаунты в ВКонтакте и Telegram.

Публикации раздела: