Неходжкинские лимфомы у детей
Информация для родителей
Что такое лимфомы?
Лимфомы относятся к группе гемобластозов, то есть опухолевых заболеваний, которые развиваются из клеток крови. Условно к гемобластозам причисляют:
- лейкозы — с первичной локализацией в костном мозге
- нелейкемические гемобластозы — характеризующиеся опухолевой локализацией вне костного мозга. Это неходжкинские лимфомы и лимфома Ходжкина.
Неходжкинские лимфомы (НХЛ) ‒ это злокачественное заболевание лимфатической системы. Название «злокачественная лимфома» дословно обозначает «злокачественное увеличение лимфатических узлов». Этот медицинский термин объединяет большую группу онкологических заболеваний, которые начинаются в клетках лимфатической системы.
Распространенность НХЛ у детей:
- В детском возрасте НХЛ занимают 3 место среди всей онкологической патологии, составляя 5-7%.
- Частота заболевания у детей до 15 лет составляет 1:700-750 человек. Мальчики болеют чаще, чем девочки. Пик заболеваемости приходится на возраст от 3 до 9 лет.
- Крайне редко НХЛ встречаются у детей до 3-х лет.

Причины развития лимфом
Болезнь начинает развиваться, когда лимфоциты мутируют, то есть злокачественно изменяются. Почему это происходит, неизвестно. Лимфоциты — это группа белых клеток крови, которые находятся, в основном, в лимфатической ткани. Поэтому неходжкинские лимфомы могут появляться везде, где есть лимфатическая ткань. Чаще всего болезнь развивается в лимфатических узлах. Но она также может развиваться в других лимфоидных тканях и лимфоидных органах, например, селезёнке, тимусе (вилочковой железе), миндалинах и лимфатических бляшках тонкого кишечника.
Некоторые вирусы могут провоцировать возникновение НХЛ. В ряде исследований была установлена возможная связь вирусов и некоторых форм НХЛ.
Клинические стадии НХЛ
- I стадия — поражение опухолью отдельных лимфоузлов одной анатомической группы или поражение одной лимфоидной ткани. За исключением поражения лимфоидной ткани внутри груди и в брюшном пространстве.
- II стадия — поражение опухолью лимфоузлов нескольких анатомических групп или поражение других лимфоидных тканей с локальным распространением и без локального распространения. Но все пораженные опухолью регионы находятся по одну сторону диафрагмы.
- III стадия — поражение опухолью лимфоузлов или лимфоидной ткани с обеих сторон диафрагмы. Или опухоль поразила лимфоидную ткань или другие органы внутри груди — средостение, плевра, вилочковая железа, легкие. Также обширные неоперабельные опухоли в брюшной полости.
- IV стадия — поражение опухолью центральной нервной системы (ЦНС) и (или) костного мозга.
Неходжкинские лимфомы у детей и подростков характеризуются быстрым прогрессированием онкологического процесса. Опухоль растет так быстро, что большинство детей поступают в клинику уже в III-IV стадии заболевания.
Однако, вне зависимости от стадии процесса, лимфомы в детском возрасте имеют хорошую чувствительность к химиотерапевтическому лечению, что позволяет излечить до 80% пациентов.
Группы неходжкинских лимфом
В зависимости от вида раковых клеток под микроскопом и от их молекулярно-генетических особенностей выделяют разные виды лимфом.
Согласно классификации ВОЗ лимфомы делятся на две крупные группы: В-клеточные лимфомы и Т/NK-клеточные лимфомы. Среди них, в свою очередь, выделяют лимфомы из клеток-предшественников (В- и Т-лимфобластные лимфомы) и опухоли из зрелых клеток.
Клинические симптомы лимфом
Нередко первым проявлением заболевания становится увеличение лимфатических узлов, которые, как правило, не болят, приобретают каменистую плотность, сливаются в конгломераты. Лимфатические узлы могут определяться в области головы, на шее, руках, ногах, в подмышечных впадинах, паховых областях, в грудной или брюшной полостях. Часто болезнь переходит на другие органы — селезенку, печень, мозговые оболочки, кости, костный мозг.
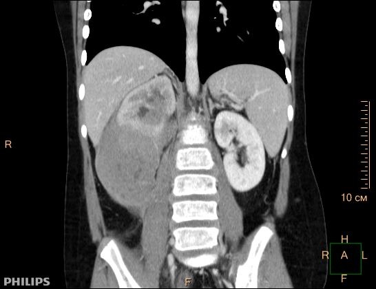
При локализации опухоли в животе у больного могут возникнуть тошнота, рвота, потеря аппетита, что быстро приводит к значительному снижению веса и обезвоживанию. Часто пациенты жалуются на боли в животе, а при осмотре определяется крупная, плотная опухоль больших размеров. Рис.1. Заболевание может проявляться кишечной непроходимостью, синдромом «острого живота», связанными с кровотечением, инвагинацией, перфорацией пораженной опухолью кишки, которые требуют немедленного квалифицированного хирургического лечения.

Рис. 1. Узловое образование правой почки, сливающееся с конгломератом увеличенных забрюшинных лимфатических узлов – специфическое поражение при лимфоме
Нередко увеличиваются печень и селезенка.
При локализации опухолевого процесса в грудной клетке типичными жалобами становятся кашель, затрудненное дыхание и глотание, иногда – потеря голоса.
Очень грозным осложнением, развивающимся при резком и значительном увеличении лимфатических узлов средостения является синдром сдавления верхней полой вены. Он проявляется нарушением дыхания, отеком и синюшностью лица и шеи. Появление этих симптомов угрожает жизни больного и требует незамедлительного обращения за медицинской помощью.
Кроме того, может развиваться скопление жидкости в плевральной полости и околосердечной сумке, что также быстро приводит к возникновению дыхательных расстройств.
Заболевание может манифестировать с появления жалоб на заложенность носа, нарушение дыхания, ощущение инородного тела при глотании, что встречается при поражении лимфоглоточного (Вальдейерова) кольца. При осмотре отмечается увеличение миндалин, свисание опухоли из носоглотки, которая нередко закрывает вход в ротоглотку. При этой локализации наиболее часто обнаруживаются увеличенные шейные и подчелюстные лимфатические узлы.
При купании и переодевании ребенка родители могут заметить появление узловатых образований величиной от горошины до размера грецкого ореха, плотной консистенции телесного или синюшно-красноватого цвета с возможным изъязвлением на поверхности. Так проявляет себя поражение мягких тканей при лимфоме. Излюбленной локализацией мягкотканных образований является волосистая часть головы, передняя грудная и брюшная стенка, спина.
У мальчиков заболевание нередко может проявляться увеличением размеров мошонки.
При поражении центральной нервной системы характерны такие симптомы, как головная боль, нарушение зрения, слуха, речи, парезы и параличи.
Первичное поражение костей у детей и подростков встречается редко (2-4%). При этом поражаются кости таза, лопатки, трубчатые кости с наличием различных размеров участков разрушения костной структуры.
Методы диагностики лимфом у детей и подростков
При появлении у ребенка жалоб, описанных выше, необходимо незамедлительно обратиться к педиатру. Если история болезни ребёнка, тщательный осмотр, результат клинического анализа крови, а также ультразвуковое и/или рентгенологическое обследование позволяют заподозрить неходжкинскую лимфому, ребенка направляют в специализированную клинику детской онкологии и гематологии.
В специализированном стационаре проводится комплексное обследование:
- Анализ опухолевой ткани: исследование пораженного лимфатического узла или другой пораженной ткани. Образцы материала получают хирургическим путем. Опухолевую ткань отправляют на цитологический, иммунологический и генетический анализы. По результатам этих исследований можно точно сказать, заболел ли ребёнок неходжкинской лимфомой, и если да, то какой именно её формой.
- Определение распространенности болезни в организме: ультразвуковое исследование органов брюшной полости, забрюшинного пространства и малого таза, компьютерная томография грудной клетки, брюшной полости и малого таза, магнитно-резонансная томография головного и спинного мозга (если есть показания). Чтобы проверить, попали ли опухолевые клетки в центральную нервную систему, проводят люмбальную пункцию – берут спинномозговую жидкость и исследуют, есть ли в ней опухолевые клетки или нет. Также всем детям выполняют пункцию костного мозга, чтобы узнать, успели ли в него попасть злокачественные клетки или нет.
- Для оценки работы сердца проводят электрокардиографию и Эхо-кардиографию.
- Комплексные лабораторные исследования: клинические анализы крови, мочи, биохимический анализ крови с оценкой функции почек и печени, определением мочевой кислоты, электролитов, лактатдегидрогеназы (ЛДГ), исследование свертывающей системы крови (коагулограмма), определение группы крови и резус-фактора.
Современные программы лечения неходжкинских лимфом у детей основаны на индивидуальном подходе с учетом различных морфологических и клинических вариантов заболевания.
Общие принципы лечения неходжкинских лимфом
- При I и II стадиях заболевания применяется менее интенсивная химиотерапия.
- При всех вариантах НХЛ у детей обязательно проводится профилактика поражения центральной нервной системы.
- При интенсивной программной полихимиотерапии лимфом из зрелых клеток у детей лучевая терапия не показана.
- Полихимиотерапия проводится на фоне комплекса адекватной сопроводительной терапии.

Лечение зрелых Т- и В-клеточных лимфом
Для терапии зрелоклеточных лимфом применяется жесткое, но непродолжительное лечение (до полугода) с использованием высокодозной полихимиотерапии и иммунотерапии (рис. 2).
Лечение проводится короткими интенсивными курсами — от 2 до 6. Их количество зависит от стадии болезни и группы риска ребенка. Для определения группы риска учитываются такие параметры, как радикальность операции (если она была), размеры и локализация опухоли, уровень ЛДГ в крови и поражение костного мозга и центральной нервной системы.
Для терапии зрелых В-клеточных лимфом, клетки которых экспрессируют CD20-антиген, используется таргетный препарат ритуксимаб (мабтера, ацеллбия).

Рис. 2. Протокол NHL-BFM для лечения зрелых В-клеточных лимфом
Лечение лимфобластных лимфом из Т- и В-предшественников
Лечение детей с лимфобластной лимфомой — длительное, непрерывное в течение 2 лет. Оно состоит из нескольких следующих друг за другом фаз: профаза, индукция – протокол I, консолидация – протокол М, реиндукция – протокол II, профилактика поражения центральной нервной системы. Рис. 3.
Для профилактики поражения ЦНС используются введение химиопрепаратов в спинномозговой канал и лучевая терапия. Поддерживающая терапия проводится в течение 1,5 лет.
Интенсивность программы лечения зависит от стадии заболевания.

Рис. 3. Протокол NHL-BFM для лечения лимфобластных лимфом из Т- и В-предшественников
Диспансерное наблюдение при НХЛ
Динамическое наблюдение за детьми и подростками проводится в течение не менее 3-х лет после завершения лечебной программы.
В первые 3 месяца пациент обследуется каждый мес, в последующие 9 месяцев – каждый квартал, затем раз в полгода.
Обследование включает осмотр пациента с оценкой жалоб, клинический и биохимический анализы крови с определением ЛДГ, УЗИ очагов первичного поражения, рентгенограмм грудной клетки, по показаниям используются КТ/МРТ.
В последние годы для динамического наблюдения за излеченными больными с целью ранней диагностики рецидива широкое распространение получил метод ПЭТ/КТ всего тела с глюкозой.

Если вы хотите узнать побольше о бесплатных возможностях ФБГУ НМИЦ онкологии им. Н.Н. Петрова Минздрава России, получить очную или заочную консультацию по диагностике и лечению, записаться на приём, ознакомьтесь с информацией на странице.
Если вы хотите общаться с нами через социальные сети, обратите внимание на аккаунты в ВКонтакте и Telegram.
- Плоскодетекторная компьютерная томография в интервенционной радиологии: фундаментальные принципы, современные технологии и перспективы дальнейшего развития
- Может ли экстракорпоральное оплодотворение спровоцировать рак?
- Внутрибольничная пневмония: диагностика, лечение и профилактика
- Рак и наследственность
- Профессор Светлана Кулева: «До сих просыпаюсь от страха, что иду на экзамен по взрослой хирургии»