Плоскоклеточный рак нижней челюсти
Заболевание развивается, когда опухоль локализуется на слизистой оболочке альвеолярного отростка или мягких тканях дна полости рта c переходом на кость.
Эпидемиология
Частота поражения мягких тканей дна полости рта составляет 20% и слизистой альвеолярного отростка нижней челюсти 4% от всех злокачественных новообразований полости рта. Мужчины болеют в 5-7 раз чаще чем женщины. Большинство случаев встречается в возрасте 50-70 лет.
Факторы риска
Вредные привычки
Курение повышает риск заболеть раком полости рта в несколько раз. Причем в равной степени, опасно курение сигарет, сигар и трубок. Степень риска зависит от стажа курения, возраста курильщика и количества выкуриваемых сигарет. Повышает риск употребление крепких алкогольных напитков.
Состояние зубов
Большую роль играет неудовлетворительная гигиена полости рта. Кариозные зубы и плохо изготовленные протезы травмируют слизистую оболочку полости рта, что повышает вероятность развития предрака и рака полости рта.
Предраковые заболевания
К факторам риска также относят такие предраковые заболевания, как болезнь Боуэна, эритроплазия Кейра, язвенная лейкоплакия, паппилломатоз.
Классификация МКБ – 10:
С03.1 – нижний альвеолярный отросток и десна
С04 – дно полости рта



Клиническая картина
Часто больные обращаются к врачу, когда опухоль уже достигает больших размеров, отмечается распад новообразования, зловонный запах изо рта, кровотечение. Их также могут беспокоить припухлости или язвы во рту, расшатывание и выпадение зубов, кровоточивость слизистой оболочки полости рта. Позднее присоединяются жалобы на затрудненное открывание рта, трудность или невозможность приема пищи, обилие слюны, похудание.
Диагностика
- Тщательный клинический и инструментальный осмотр полости рта, пальпация.
- Соскоб, мазки с эрозированных или язвенных поверхностей для цитологического исследования.
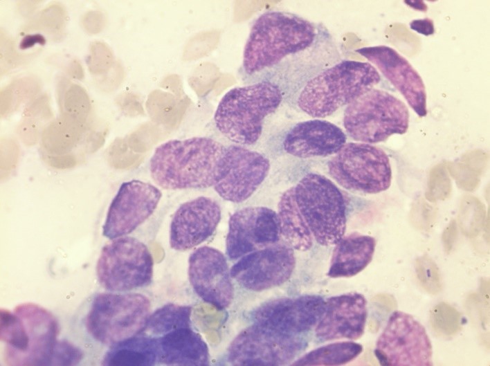
- Цитологическое исследование пунктата неизъязвленных опухолей и увеличенных лимфоузлов (рис. 1).

Рис.1 Цитологическое исследование
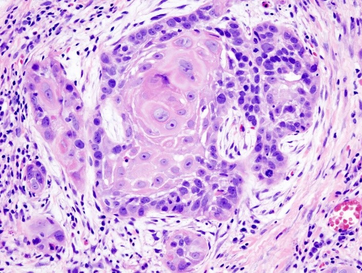
- Биопсия опухоли, гистологическое исследование (рис.2).

Рис.2 Гистологическое исследование. Плоскоклеточный рак
- рентгенологическое исследование нижней челюсти.
- УЗИ первичной опухоли при локализации процесса на дне полости рта.
- УЗИ области шеи – для выявления субклиничеких метастазов.
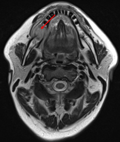
- КТ, МРТ с контрастным усилением или без (по показаниям) (рис.3.).

Рис.3 МРТ с внутривенным контрастированием
Тактика лечения
При T1–T2, N0 рекомендуется выполнение оперативного вмешательства с/без шейной лимфодиссекцией (в зависимости от толщины опухоли по данным УЗВТ) или в случае отказа пациента от оперативного вмешательства рекомендована лучевая терапия.
При T3N0, T1-3, N1-3, T4a любое N рекомендуется оперативное лечение с одно- или двухсторонней шейной лимфодиссекцией с последующей лучевой терапией.
Хирургическое лечение
Виды реконструкции нижней челюсти:
- пластика кожно-мышечным лоскутом с использованием кивательной мышцы;
- пластика торакодорзальным лоскуктом;
- ромбовидный шейный-лицевой кожно-мышечный лоскут;
- кожно-мышечный лоскут на коротких мышцах шеи;
- кожно-мышечный лоскут на большой подкожной мышцы шеи;
- пластика малоберцовой кости с микрососудистого анастомоза;
- пластика подвздошной костью;
- пластика участком ребра с микрососудистого анастамоза.
Лучевая терапия
Лучевая терапия проводится по радикальной программе.
Лекарственная терапия
- PF + Cet: Цисплатин + 5-фторурацил + цетуксимаб
- DС + Cet: Доцетаксел + цисплатин + цетуксимаб
- Pacli+Carbo+Cet: Паклитаксел + карбоплатин AUC + цетуксимаб
- Pacli+Carbo+Cet: Паклитаксел + карбоплатин AUC 2,0 + цетуксимаб
- PF :Цисплатин + 5-фторурацил. Карбоплатин AUC-5 + 5-фторурацил
- Pacli+Carbo: Паклитаксел + карбоплатин AUC-5–6. Паклитаксел + карбоплатин AUC-2
- DС: Доцетаксел + цисплатин
- Ниволумаб
- Пембролизумаб
Диспансерное наблюдение
В первый год физикальный осмотр и сбор жалоб рекомендуется проводить каждые 1-3 месяца, во второй год – каждые 2-6 месяцев, спустя 3-5 лет – 1 раз в 4-8 месяцев. Через 5 лет с момента операции обследования проводятся ежегодно или при появлении жалоб. У пациентов с высоким риском рецидива перерыв между обследованиями может быть сокращен.
Список литературы:
- Ганцев Ш.Х. онкология – М, 2012 г – С.204-205.
- Опухоли головы и шеи: рук/ А.И. Пачес.- 5-е изд., доп. И перераб.-М.: Практическая медицина , 2013. -478 с.
- Клинические рекомендации Злокачественные новообразования полости рта. 2020г. – 62 с.
- WHO Classification of Head and Neck Tumours-International Agency for Research on Cancer. 2017. – 347 с.
- Shah. Head and Neck Surgery and Oncology 5 ed (2020) – 859 с.
Если вы хотите узнать побольше о бесплатных возможностях ФБГУ НМИЦ онкологии им. Н.Н. Петрова Минздрава России, получить очную или заочную консультацию по диагностике и лечению, записаться на приём, ознакомьтесь с информацией на странице.
Если вы хотите общаться с нами через социальные сети, обратите внимание на аккаунты в ВКонтакте и Telegram.
- Плоскодетекторная компьютерная томография в интервенционной радиологии: фундаментальные принципы, современные технологии и перспективы дальнейшего развития
- Может ли экстракорпоральное оплодотворение спровоцировать рак?
- Внутрибольничная пневмония: диагностика, лечение и профилактика
- Рак и наследственность
- Профессор Светлана Кулева: «До сих просыпаюсь от страха, что иду на экзамен по взрослой хирургии»