Рак яичников
Яичники – органы внутренней секреции, которые принимают участие в работе репродуктивной системы женщины. Основной функцией данного органа является выработка половых гормонов, которые регулируют ежемесячный менструальный цикл и поддерживают беременность.

Рак яичников занимает 3 место по заболеваемости и 1 место по смертности среди злокачественных опухолей репродуктивной системы. Прогноз выживаемости пациентов с распространённым раком яичников составляет 30%, а скрининговые программы для него отсутствуют. Преимущественно опухоль возникает в возрасте 40-60 лет.
Причины возникновения рака яичников
На сегодняшний день нет однозначной причины, вызывающей опухоль яичника. В группу риска входят женщины, не живущие половой жизнью, небеременевшие или беременевшие, но не рожавшие.
Предраспологающие факторы
- гормональные нарушения, в том числе позднее начало менструации или ранняя менопауза, аномальное увеличение числа овуляций, гиперпластические процессы эндометрия, длительно существующие кисты яичников, миома матки
- генетическая предрасположенность/наследственность;
- наличие других опухолевых процессов в организме, в особенности рак молочной железы и рак эндометрия.
Опухоль яичников может начинаться из неизмененной ткани яичника, постепенно превращаясь в злокачественную. Другая форма развития рака яичников происходит на фоне уже существующей болезни, которая изначально имеет доброкачественный характер — кисты яичников. Некоторые типы кист яичников совершенно безвредны, они исчезают самостоятельно и не требуют дополнительного лечения. Самыми распространенными являются так называемые «функциональные кисты» (киста желтого тела и фолликулярная киста).
Зачастую пациенты не отмечают никаких жалоб. Несмотря на это беспечно относиться к диагнозу «киста яичника» нельзя. Следует обратиться за консультацией к специалисту – врачу онкологу-гинекологу, ведь большинство женщин, у которых обнаружена раковая опухоль в яичниках, чувствуют себя абсолютно здоровыми, пока опухоль не достигает больших размеров и проявляются признаки рака яичников.
Специфические симптомы рака яичников:
- постоянные ноющие боли в области живота и поясничном отделе;
- увеличение живота в объеме за счет образования жидкости в брюшной полости.
- появление сбоев в менструальном цикле и выделений из влагалища с примесью крови;
- учащенное мочеиспускание или «ложные» позывы; запоры;
Диагностика рака яичников
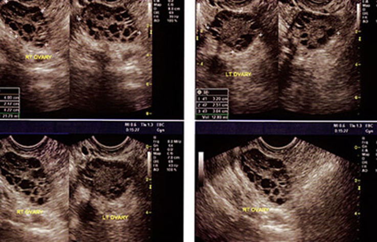
Распознать и диагностировать рак яичников довольно трудно. Это связано в первую очередь с расположением яичников в брюшной полости, что исключает возможность зрительного контроля. Основным методом является УЗИ органов малого таза.

Для более точной диагностики используют углубленное исследование — МРТ, которое позволяет максимально точно выявить границы, расположение и размер опухоли. При наличии патологической жидкости в брюшной полости – асцита – ее эвакуируют и выполняют цитологическое исследование, которое определяет присутствие злокачественных клеток.
Другим фактором, затрудняющим раннюю диагностику онкологии яичников, является отсутствие симптомов на ранних стадиях.
Кроме описанных инструментальных методов обследования, важным является исследование близлежащих органов, а также выполнение лабораторных анализов, в том числе исследование онкомаркеров. Только после проведения перечисленных действий, врач может поставить окончательный диагноз, т.е. клиническую стадию заболевания.
Стадии
На сегодняшний день выделяют 4 стадии рака яичников:
|
Стадия |
Характерные признаки |
|
I |
опухоль располагается только в одном яичнике; |
|
II |
раковые клетки продолжают развиваться и поражают второй яичник; |
|
III |
появляются метастазы по брюшной полости, болезнь распространяется на близлежащие органы; |
|
IV |
опухолевые клетки поражают отдаленные органы-мишени (печень, легкие, кости, головной мозг); |
Лечение
На основании выставленной стадии заболевания возможно определить необходимый вид лечения опухоли яичников – объем хирургического этапа и индивидуальный подбор курса полихимиотерапии. Стандартом является удаление матки с придатками и большого сальника. Операция должна выполняться в радикальном объеме для обнаруженной патологии.
В НИИ онкологии имени Н.Н. Петрова создана уникальная операционная с оборудованием KarlStorz (Германия), где проводят хирургическое лечение всех злокачественных патологий репродуктивной системы, в том числе и лапароскопическим доступом, крупнейшие хирурги Северо-Запада.

Также на базе отделения онкогинекологии занимаются такой серьезной проблемой, как хирургическое лечение во время беременности. Случаи необходимости удаления кисты яичника во время беременности не являются редкостью, а ограничения в лучевой диагностике зачастую оставляют вопросы при постановке клинического диагноза. Оперировать беременных с опухолями яичников наиболее рационально в плановом порядке, определив посредством срочного интраоперационного цитологического и гистологического исследований характер опухоли.
Наследственный рак яичников
Общемировой тенденцией на сегодняшний день является изучение наследственных опухолевых синдромов.
Большой общественный резонанс создала актриса Анджелина Джоли тем, что радикально решила проблему возможного возникновения у нее рака яичников и рака груди, выполнив удаление яичников и молочных желез с протезированием последних имплантами. Согласно представленным анализам, вероятность развития у нее онкологичекого заболевания была 87% из 100% из-за наличия мутации в гене BRCA1.
Среди семейных опухолей наследственный рак яичников является самой частой патологией и составляет 10-15% от общей структуры. Наиболее часто он ассоциирован с высоким риском развития рака молочной железы (РМЖ), поэтому в медицинской литературе обычно встречается единый термин «синдром рака молочной железы и рака яичников». В течение 17 лет НИИ онкологии имени Н.Н. Петрова занимаются диагностикой наследственных раковых синдромов. Установлено, что у российских пациенток с наследственным раком яичников 70-90% всех дефектов в гене BRCA1 приходится на мутацию в гене BRCA1 5382insC.
Исследования, проводимые в НИИ, позволили создать недорогую и эффективную методику для генетического скрининга семейных форм рака молочной железы и рака яичников, основанную на применении всего нескольких ПЦР-тестов.
Диагностика наследственного рака яичников в настоящее время доступна и проста – это анализ крови из вены.
Определение генетической предрасположенности к раку среди здоровых женщин крайне важно; в случае подтверждения присутствия мутации организуется комплекс мероприятий, направленных на предупреждение и раннюю диагностику онкологической патологии.
Если вы хотите узнать побольше о бесплатных возможностях ФБГУ НМИЦ онкологии им. Н.Н. Петрова Минздрава России, получить очную или заочную консультацию по диагностике и лечению, записаться на приём, ознакомьтесь с информацией на странице.
Если вы хотите общаться с нами через социальные сети, обратите внимание на аккаунты в ВКонтакте и Telegram.
- Плоскодетекторная компьютерная томография в интервенционной радиологии: фундаментальные принципы, современные технологии и перспективы дальнейшего развития
- Может ли экстракорпоральное оплодотворение спровоцировать рак?
- Внутрибольничная пневмония: диагностика, лечение и профилактика
- Рак и наследственность
- Профессор Светлана Кулева: «До сих просыпаюсь от страха, что иду на экзамен по взрослой хирургии»